Связанные заболевания и их лечение
Описания заболеваний
Стандарты мед. помощи
Содержание
- Синонимы диагноза
- Описание
- Дополнительные факты
- Симптомы
- Причины
- Дифференциальная диагностика
- Лечение
- Прогноз
- Основные медицинские услуги
- Клиники для лечения
Другие названия и синонимы
Бронхопневмония, Лобулярная пневмония.
Названия
Название: Очаговая пневмония.
Очаговая пневмония
Синонимы диагноза
Бронхопневмония, Лобулярная пневмония.
Описание
Очаговая пневмония. Разновидность острой пневмонии с локализацией инфекционно — воспалительного процесса на ограниченном участке легочной ткани в пределах мелких структурных единиц — долек легкого. Течение очаговой пневмонии характеризуется лихорадкой и ознобами, кашлем сухим или со скудной мокротой, болью в грудной клетке, общей слабостью. Диагностика очаговой пневмонии основана на физикальных, рентгенологических данных, результатах лабораторных исследований (мокроты, периферической крови). Принципы лечения очаговой пневмонии заключаются в назначении антибиотикотерапии, бронхолитических и муколитических средств, лекарственных ингаляций, физиотерапевтических процедур (УВЧ, электрофореза), ЛФК, массажа.
Дополнительные факты
В структуре различных форм воспаления легких очаговые пневмонии составляют наиболее обширную группу – примерно 2/3 всех случаев. Воспаление при очаговой пневмонии нередко начинается с терминальных бронхов, захватывая в виде одиночного или множественных очагов одну или группу долек легкого. Поэтому очаговой пневмонии в пульмонологии соответствуют термины «бронхопневмония» и «лобулярная пневмония». В целом воспалительный процесс при очаговой пневмонии мене активен, а клиническая картина не столь выражена, как при крупозной пневмонии.
Патоморфология очаговой пневмонии.
Патоморфологические изменения при очаговой пневмонии соответствуют таковым при долевой пневмонии и проходят стадии серозного выпота, опеченения и разрешения.
В зависимости от величины фокуса воспаления различают мелкоочаговые и крупноочаговые пневмонии, развивающиеся в пределах дольки. Кроме этого, воспалительные очаги могут быть единичными или множественными. Чаще всего патологический процесс развивается в продольном направлении (с последовательным вовлечением бронхов, бронхиол и альвеолярных ходов), реже – путем поперечного (перибронхиального) распространения.
Альвеолярный экссудат при очаговой пневмонии обычно имеет серозный характер с примесью лейкоцитов и слущенного альвеолярного эпителия, иногда — геморрагический характер. Обычно поражаются задненижние сегменты легких, в редких случаях — верхнедолевые сегменты. Серо-красные участки воспаленной легочной ткани уплотнены, чередуются с более светлыми участками эмфиземы и темными – ателектаза, что придает легкому неоднородный пестрый вид. Обычно очаговая пневмония полностью разрешается, однако возможны исходы в абсцесс, гангрену легкого, хроническую пневмонию.
Симптомы
Боль в груди слева. Боль в груди справа. Боль в грудной клетке. Влажный кашель. Высокая температура тела. Изменение аппетита. Кашель. Кровохарканье. Лейкоцитоз. Ломота в теле. Мокрота. Нейтрофилез. Одышка. Озноб. Потливость. Увеличение СОЭ. Фебрильная температура тела.
Причины
В большей части случаев очаговая пневмония является вторичной, выступая осложнением острых респираторных инфекций, протекающих с явлениями трахеобронхита и бронхита. Заболеваемость очаговой пневмонией резко возрастает в периоды эпидемиологических вспышек гриппа. Предполагается, что вирус гриппа в известной степени сенсибилизирует организм, изменяет ткани дыхательных путей и делает их более восприимчивыми к условно-патогенной и вирулентной флоре. Среди пневмотропных агентов встречаются респираторно-синтициальные вирусы, риновирусы, аденовирусы, вирусы парагриппа.
Вторичные очаговые пневмонии могут развиваться на фоне других первичных заболеваний – кори, коклюша, скарлатины, брюшного тифа, менингококкового менингита, дизентерии, перитонита, гнойного отита, абсцесса печени, фурункулеза, остеомиелита и тд В очаговой форме могут протекать застойная и аспирационная пневмония.
Среди микробных возбудителей очаговой пневмонии в 70-80% случаев выделяются пневмококки различных типов. Наряду с пневмококком, этиологическими агентами бронхопневмонии могут выступать палочка Фридлендера, стрептококк, стафилококк, менингококк, кишечная палочка, микробные ассоциации, в некоторых случаях — микоплазмы, хламидии, риккетсии и тд Стафилококковые пневмонии часто осложняются абсцедированием легких и развитием эмпиемы плевры.
При первичной очаговой пневмонии имеет место бронхогенный путь проникновения возбудителей, при вторичных — гематогенный или лимфогенный пути распространения. Предрасполагающим моментом может выступать снижение функции местных и общих защитных систем вследствие курения, переохлаждения, стресса, вдыхания токсических веществ, снижения вентиляционных способностей легких (при пневмосклерозе, эмфиземе), метеорологических факторов (колебаний влажность воздуха, барометрического давления и тд ).
Дифференциальная диагностика
Дифференциальный диагноз очаговой пневмонии необходимо проводить с туберкулезом, альвеолярным раком легкого, абсцессом и инфарктом легкого. С этой целью выполняется комплекс рентгенологического и клинико-лабораторного обследования с оценкой результатов рентгенологом и пульмонологом.
Рентгенологическая картина при очаговой пневмонии может быть вариабельна. В типичных случаях с помощью рентгенографии легких определяются очаговые изменения на фоне периваскулярной и перибронхиальной инфильтрации. В сомнительных случаях рентгенологические данные должны уточняться с помощью КТ и МРТ легких, бронхоскопии.
Для выяснения этиологии очаговой пневмонии производится исследование мокроты или смывов бронхов (микроскопическое, цитологическое, ПЦР, на КУБ, бактериологическое). В крови выявляется нейтрофильный лейкоцитоз, увеличение СОЭ, повышение содержания сиаловых кислот и фибриногена, диспротеинемия, положительная реакция на С-реактивный белок. Для исключения септицемии при тяжелом течении очаговой пневмонии проводится исследование крови на гемокультуру.
Лечение
При очаговой пневмонии требуется как можно более ранее назначение антибиотиков с учетом данных клинико-рентгенологической и микробиологической диагностики; целесообразна комбинация препаратов различных групп. В лечении пневмоний традиционно применяются пенициллины, цефалоспорины, фторхинолоны курсами не менее 10-14 дней. Кроме внутримышечных и внутривенных инъекций антибиотиков, используется также их внутриплевральное, эндобронхиальное, эндолимфатическое введение.
В остром периоде очаговой пневмонии проводится инфузионная дезинтоксикационная и противовоспалительная терапия, в тяжелых случаях в схему лечения очаговой пневмонии вводят кортикостероиды. Назначаются бронхолитические и муколитические препараты, разжижающие мокроту и облегчающие ее эвакуацию из бронхиального дерева (эуфиллин, теофиллин, бромгексин и тд ), аэрозольные ингаляции (лекарственные, щелочные, масляные, ферментные). Активно применяются витамины и стимуляторы иммуногенеза.
При явлениях дыхательной недостаточности показана оксигенотерапия, при сердечной недостаточности — сердечные гликозиды и мочегонные препараты. Тяжелые формы очаговой пневмонии требуют проведения плазмафереза. После стихания острых явлений к лечению очаговой пневмонии добавляют физиотерапевтические процедуры (лекарственный электрофорез, УВЧ, ДМВ-терапия), массаж грудной клетки.
Прогноз
Критериями разрешения очаговой пневмонии служат: исчезновение клинической симптоматики, нормализация рентгенологических и лабораторных показателей. Своевременная и рациональная терапия очаговой пневмонии предупреждает затяжное течение или рецидивирование воспаления. Реконвалесценты, перенесшие очаговую пневмонию, наблюдаться терапевтом-пульмонологом не менее 6 мес.
Наименее благоприятным прогнозом характеризуются стафилококковые пневмонии, протекающие с абсцедированием и деструкцией, а также вирусные пневмонии с молниеносным течением.
Основные медуслуги по стандартам лечения |
||
Клиники для лечения с лучшими ценами
|
Пневмония — воспаление альвеол легких, как правило, развивается в результате инфекции. Болезнь начинается с воспаления отдельных альвеол, они заполняются белыми кровяными клетками и жидкостью. В результате затрудняется газообмен в легких. Обычно поражено только одно легкое, но в тяжелых случаях возможна двусторонняя пневмония.
Воспаление легких может распространяться из альвеол в плевру (двуслойную мембрану, которая отделяет легкие от стенки), вызывая плеврит. Между двумя листками плевры начинается скопление жидкости, которая сдавливает легкие и затрудняет дыхание. Патогенные микроорганизмы, вызывающие воспаление, могут попасть в кровеносную систему, что приводит к опасному для жизни заражению крови. У ослабленных людей из группы риска — младенцев, стариков и людей с иммунодефицитом — воспаление может настолько обширно поражать легкие, что возможно развитие дыхательной недостаточности, являющейся потенциально летальным состоянием.
Причины возникновения
В основном, причина развития заболевания у взрослых пациентов — бактериальная инфекция, как правило, бактерии вида Streptococcus pneumoniae. Эта форма пневмонии часто бывает осложнением после вирусной инфекции верхних дыхательных путей. Причиной заболевания также могут быть вирусы гриппа, ветряной оспы, Haemophilus influenzae и Mycoplasma pneumoniae.
Бактерии Legionella pneumophila (присутствуют в системах кондиционирования воздуха) вызывают т.н. болезнь легионеров, которая может сопровождаться поражением печени и почек.
Пациентов больниц, находящихся там в связи с другими заболеваниями, в основном детей и стариков, часто поражает бактериальная пневмония, вызванная Staphylococcus aureus, а также бактериями Klebsiella и Pseudomonas.
В некоторых случаях пневмонию вызывают другие микроорганизмы, такие как грибы и простейшие. Эти инфекции обычно встречаются редко и легко протекают у людей в нормальной физической форме, но они распространены и практически летальны у пациентов с иммунодефицитом. Например, Рneumocystis carinii может жить в здоровых легких, не вызывая болезни, но у больных СПИДом эти микробы приводят к тяжелой пневмонии.
Существует редкая форма заболевания, которую называют аспирационная пневмония. Ее причиной является попадание рвотных масс в дыхательные пути. Наблюдается у людей с отсутствующим кашлевым рефлексом, который развивается при сильном опьянении, передозировке наркотиков или травме головы.
Факторы риска
Факторами риска являются курение, алкоголизм и плохое питание. Пол, генетика значения не имеют. В группу риска входят грудные дети, старики, пациенты с тяжелыми и хроническими болезнями, такими как сахарный диабет, а также с иммунодефицитом вследствие тяжелых заболеваний, таких как СПИД. Нарушение иммунной системы также происходит при лечении иммуносупрессантами и проведении химиотерапии.
Некоторые формы пневмонии стало очень трудно лечить из-за повышенной резистентности бактерий, вызывающих болезнь, к большинству антибиотиков.
Симптомы
У бактериальной пневмонии обычно быстрое начало, а тяжелые симптомы появляются в течение нескольких часов. Характерны следующие симптомы:
- кашель с коричневой или кровянистой мокротой;
- боль в груди, которая усиливается во время вдоха;
- одышка в спокойном состоянии;
- высокая температура, бред и спутанность сознания.
Небактериальная форма заболевания не дает таких специфических симптомов, и ее проявления развиваются постепенно. Больной может чувствовать общее недомогание в течение нескольких дней, затем повышается температура и пропадает аппетит. Единственными респираторными симптомами могут быть только кашель и одышка.
У маленьких детей и стариков симптомы любой формы пневмонии менее выражены. У грудных детей вначале появляется рвота и повышается температура, которая может вызвать спутанность сознания. У стариков респираторные симптомы не проявляются, но возможна сильная спутанность сознания.
Диагностика
Если врач предполагает пневмонию, то диагноз следует подтвердить флюорографией, которая покажет степень инфекционного поражения легких. Для идентификации патогенного микроорганизма собирают и исследуют образцы мокроты. В целях уточнения диагноза также делают анализы крови.
Лечение
Если пациент находится в хорошем физическом состоянии и у него только легкая пневмония, возможно лечение в домашних условиях. Для того чтобы сбить температуру и снять боль в груди, применяют анальгетики. Если причиной заболевания является бактериальная инфекция, врачи назначают антибиотики. При грибковой инфекции, вызывающей пневмонию, выписывают противогрибковые лекарства. В случае легкой вирусной формы заболевания не проводят никакой специфической терапии.
Лечение в стационаре необходимо больным тяжелой бактериальной и грибковой пневмонией, а также грудным детям, старикам и людям с иммунодефицитом. Во всех этих случаях медикаментозная терапия остается той же, что и в случае амбулаторного лечения. Тяжелую пневмонию, обусловленную вирусом простого герпеса человека, того же патогенного микроорганизма, который вызывает и ветряную ослу, можно лечить пероральным или внутривенным введением ацикловира.
Если в крови низок уровень кислорода или началась сильная одышка, проводят кислородное лечение через лицевую маску. В редких случаях требуется подключение к аппарату искусственного дыхания в палате интенсивной терапии. Пока пациент находится в больнице, возможно регулярное проведение физиотерапии грудной клетки, чтобы разжижать мокроту и облегчать ее отхаркивание.
Молодые люди в хорошем физическом состоянии обычно полностью выздоравливают от любой формы пневмонии за 2–3 недели, причем без необратимого поражения легочной ткани. Улучшение состояния при бактериальной пневмонии начинается уже в первые часы после начала лечения антибиотиками. Однако некоторые тяжелые формы пневмонии, такие как болезнь легионеров, могут быть летальными, особенно у людей с ослабленной иммунной системой.
Казахмедов Д. · 13 ноября 2018
8,1 K
Врач-терапевт, опыт амбулаторного приёма пациентов 2,5 года. Закончила РНИМУ… · health.yandex.ru
Как правило, диагноз «внебольничная пневмония» имеет код по МКБ-10 J18 (пневмония без уточненного возбудителя) или J18.9 (пневмония неуточненная). Если установлен конкретный возбудитель заболевания, код по МКБ другой.
Стоит отметить, что решение о том, где именно должно проходить лечение пациента зависит от тяжести течения заболевания. Существует специальная шкала CURB-65 для оценки тяжести этого заболевания. Оценивая состояние больного по этой шкале врач учитывает:
- есть ли нарушение сознания
- уровень азота мочевины в анализе крови
- число дыхательных движений в минуту
- артериальное давление
- возраст пациента
Оценивая данную шкалу врач принимает решение есть ли необходимость лечения данного пациента в условиях стационара. При суммарном риске в 1 балл (только один из перечисленных критериев присутствует) лечение проводится амбулаторно ( «на дому»), то есть пациенту рекомендуется лечение, а он самостоятельно принимает «дома» эти препараты. Важно отметить, что в таком случае необходимы контрольные визиты врача и рентгенологическое исследование для оценки эффективности назначенного лечения.
Если же риск составляет 2 и более баллов, то необходима госпитализация пациента. Как правило, лечение может проходить в условиях инфекционногостационара.
Опасна ли миопия слабой, средней, высокой и 1 степени при беременности? Миопия 2 степени обоих глаз при беременности код МКБ 10, как лечить?
Миопия не то, чтобы опасна (просто сейчас близорукость наеврное у каждого 3-4 жителя планеты), но вы должны понимать, что скорее всего, ваш ребенок унаследует близорукость. И если это не проявится при рождении, потом практически в 95 случаях из ста она будет.
Вылечить близорукость не всегда возможно, тем более, при беременности. Поэтому самый доступный вариант, постараться не допустить прогресса. В этом поможет аппарат магнитного воздействия ЗЕвсонник. Но перед приобретением нужно проконсультироваться и со своим гинекологом и со своим офтальмологом.
Прочитать ещё 5 ответов
Какие отличительные признаки пневмонии?
Медицинский портал Medicoway — информация о известных заболеваний · medicoway.ru
Отличительными признаками пневмонии являются:
- одышка;
- кашель (вначале может быть сухой, а потом с мокротой слизистого или гнойного характера);
- слабость;
- потливость;
- лихорадка;
- иногда боли в грудной клетке.
В некоторых случаях пневмония может протекать и без температуры.
Одним из характерных проявлений пневмонии является появление хрипов, при осмотре врач может услышать в лёгких ослабленное или жесткое дыхание.
В общем анализе крови бывают воспалительные изменения в лейкоцитарной формуле, ускорение СОЭ, также имеются и другие повышенные маркеры воспаления.
Окончательно диагноз пневмонии верифицируется по снимкам лёгких.
Прочитать ещё 3 ответа
Чем симптомы коронавируса отличаются от симптомов гриппа?
Врач-эпидемиолог по профилактике ВИЧ/СПИДа, коронавируса/COVID19, венерических… · zen.yandex.ru/epid
При легком течении ничем.
Наиболее распространенными симптомами COVID-19 являются:
- температура,
- слабость,
- сухой кашель.
У некоторых больных могут быть потеря обоняния и чувства вкуса, головные боли, боли в теле, заложенность носа, насморк, боль в горле или диарея (понос).
Эти симптомы обычно слабо выражены и начинаются постепенно.
Некоторые люди заражаются, но переносят без симптомов и не чувствуют себя плохо.
Большинство людей (около 80%) выздоравливают от болезни без специального лечения.
Но приблизительно 1 из каждых 6 человек, болеющих COVID-19, болеют хуже и у них возникают проблемы с дыханием. Т.е. началась одышка, вызываем скорую! Температура, кашель — вызываем врача.
Пожилые люди (>60 лет) и те, у кого есть серьезные проблемы со здоровьем, такие как высокое кровяное давление, проблемы с сердцем или диабет, более склонны к развитию серьезного течения заболевания.
Источник: ВОЗ
Для дополнительного чтения:
- Люди, выздоровевшие от нового вируса [с фото, из России].
- Симптомы коронавируса по дням.
Длинный ответ от американского профессора: Отличие симптомов коронавируса от ОРВИ, гриппа и обычной аллергии.
Прочитать ещё 27 ответов
Термин «пневмония» объединяет множество разновидностей воспаления легких, которые отличаются друг от друга этиологией развития, симптомами и другими особенностями. Одна из наиболее распространенных форм заболевания – внебольничная пневмония, которая встречает у людей любого возраста, и может вызвать серьезные осложнения. Подробно рассмотрим что это такое внегоспитальная пневмония, что это значит, симптомы, острая двусторонняя, правосторонняя, левосторонняя нижнедолевая, патогенез заболевания, заразна ли, как передается и как ее вылечить у взрослых и детей?
Что это такое
Внебольничная пневмония – заболевание дыхательной системы, не связанное с пребыванием больного в медицинском учреждении. О данной форме воспаления легких принято говорить в следующих случаях:
- когда признаки проявились у человека, который не находился на стационарном лечении;
- если болезнь развилась не менее, чем через 2 недели после выписки из стационара, или не позже, чем в первые двое суток после госпитализации.
Данные признаки отличают ее от госпитальной (внутрибольничной) пневмонии, развивающейся непосредственно в стенах больниц. В зависимости от возбудителя заболевания у взрослых и детей, по международной классификации кодов МКБ-10 выделяют 8 видов внегоспитальной формы воспаления легких, которые обозначаются кодами от J12 до J18. Клиническая картина большинства видов по коду мкб-10, как правило, острая, но в некоторых случаях может протекать с незначительно выраженными симптомами.
ВАЖНО! Внебольничная пневмония считается менее тяжелой формой болезни, чем госпитальная, но в тяжелых случаях также может вызвать серьезные осложнения и привести к летальному исходу.
Почему развивается болезнь
Ключевая причина внебольничной пневмонии – попадание патогенных микроорганизмов в дыхательные пути, сопровождающееся следующими факторами:
- снижение иммунитета;
- сильное переохлаждение;
- патологии сердечно-сосудистой, респираторной или эндокринной системы;
- длительный постельный режим при лечении другого заболевания;
- серьезные хирургические операции в анамнезе;
- вредные привычки, нездоровый образ жизни;
- возраст более 60 лет.
Чаще всего возбудителями данной формы заболевания выступают пневмококки, стрептококки и гемофильная палочка, реже – стафилококки, хламидии, микоплазмы, клебсиелла, легионеллы, аденовирусы. Они могут проникнуть в организм человека где угодно – в бытовых условиях, при контакте с внешним миром, нахождении в месте большого скопления людей и т.д.
Основной путь попадания патогенных микроорганизмов в дыхательные пути – воздушно-капельный, то есть бактерии и вирусы выделяются в воздух при кашле или чихании носителя болезни, после чего попадают в организм здоровых людей. В норме респираторный тракт человека стерилен, а все чужеродные агенты уничтожаются дренажной системой легких.
При наличии факторов, которые были перечислены выше (переохлаждение, снижение иммунитета и т.д.) работа дренажной системы нарушается, а бактерии и вирусы остаются в легких, поражают ткани органа и вызывают воспалительный процесс. Инкубационный период не больничной пневмонии зависит от типа возбудителя, возраста и состояния здоровья больного, и в среднем составляет от 3-х часов до 3-х суток.
У 35-90% больных внебольничную пневмонию вызывают пневмококки, у 5-18% – гемофильная палочка, а на хламидии, легионеллы, микоплазмы и другие микроорганизмы приходится около 8-30% случаев заболевания.
СПРАВКА! Молодые люди чаще всего страдают от атипичных форм патологии (возбудители – хламидии, микоплазмы, легионеллы и т.д.), а в пожилом возрасте организм чаще всего поражают энтеробактерии и гемофильная палочка. Пневмококковая пневмония встречается у большинства больных вне зависимости от возраста.
Классификация (мкб-10) и виды заболевания
В зависимости от типа возбудителя заболевания, локализации воспалительного процесса и особенностей клинического течения внебольничная пневмония делится на несколько видов. Согласно коду МКБ-10, классификация выглядит следующим образом:
- вирусная форма заболевания, не представленная в других категориях (J12);
- стрептококковая пневмония (J13);
- патология, вызванная гемофильной палочкой (J14);
- бактериальная форма неклассифицированная (J15);
- болезнь, вызванная другими возбудителями (J16);
- пневмония как осложнение других заболеваний (J17);
- пневмония с неуточненным возбудителем (J18).
Исходя из местонахождения патологического процесса (сторона и область поражения), степени тяжести и общей картины болезни выделяют разные формы внебольничной пневмонии (правосторонняя, левосторонняя, двусторонняя, нижнедолевая), причем каждая из них имеет свои особенности клинического течения и терапии.
Правосторонняя и левосторонняя
- Правосторонняя пневмония. Анатомическое строение правого бронха отличается от строения левого – он короткий и широкий, поэтому правостороннее воспаление встречается чаще. Данная форма болезни обычно диагностируется у взрослых при поражении респираторной системы стрептококками.
- Левосторонняя пневмония. Воспалительный процесс с левой стороны более опасен, чем правосторонний – он свидетельствует о серьезном ослаблении организма. Основные симптомы – кашель и болевые ощущения в боку, а в запущенных случаях может наблюдаться дыхательная недостаточность.
По области поражения
Воспаление при внебольничной пневмонии может охватывать разные области легких – если поражение небольшое, заболевание называют очаговым. При воспалении нескольких частей легких речь идет о сегментарной патологии, а тотальная наблюдается при вовлечении в патологический процесс всего легкого. Долевая пневмония диагностируется при повреждении одной из долей органа, причем данная форма, в свою очередь, делится на верхне- и нижнедолевую, а также центральную.
- Верхнедолевая пневмония. Поражение верхней доли легкого считается тяжелой формой болезни, и проявляется выраженными симптомами, дисфункцией кровеносной и нервной системы.
- Нижнедолевая форма. Признаками заболевания выступают боли в животе, повышение температуры, озноб и кашель с обильным отхождением мокроты.
- Центральное воспаление. Патологический процесс развивается в глубине органа, поэтому проявляется он достаточно слабо.
ВАЖНО! Определить локализацию и масштаб пораженной области, основываясь исключительно на симптомах заболевания, нельзя – для этого необходимо рентгенологическое исследование и другие методы диагностики.
По степени тяжести
- Легкая форма. Воспаление легких, протекающее в легкой форме, лечится амбулаторно под контролем врача. Основные симптомы – небольшая лихорадка, умеренная одышка при физических нагрузках, нормальное давление и ясное сознание.
- Средняя тяжесть. Пневмония средней тяжести чаще всего наблюдается у людей с хроническими патологиями, и требует помещения больного в стационар. Она характеризуется повышенной потливостью, выраженной лихорадкой, нарушением ЧСС, легким помрачением сознания.
- Тяжелая пневмония. Данная форма болезни проявляется серьезным нарушением дыхательной функции, септическим шоком, помутнением сознания и другими тяжелыми симптомами, и лечится в условиях реанимационного отделения.
По клинической картине
- Острая форма. Болезнь развивается внезапно и характеризуется признаками интоксикации организма – высокой температурой, сильным кашлем с обильным отделением мокроты, ухудшением общего самочувствия.
- Хроническая пневмония. Воспалительный процесс поражает не только легочную, но и промежуточную ткань, ухудшает функцию легких и вызывает деформацию бронхов. Клиническое течение
При отсутствии лечения острая форма внебольничной пневмонии может перейти в хроническую, вследствие чего в патологический процесс будут постоянно вовлекаться новые сегменты легких.
Симптомы и признаки
Симптомы и проявления внебольничной пневмонии у взрослых и детей зависят от возбудителя болезни, ее формы и общего состояния организма человека. В число основных признаков патологии у взрослых и детей входят:
- повышение температуры до 38-40 градусов;
- сильный кашель с отделением мокроты ржавого оттенка;
- слабость, утомляемость, снижение работоспособности;
- повышенная потливость, особенно в ночное время;
- болевые ощущения в области грудной клетки;
- одышка разной интенсивности (в зависимости от масштаба и области поражения).
При очаговых формах заболевания патологический процесс развивается медленно, а первые симптомы могут наблюдаться только через неделю после заражения. Если воспаление охватывает оба легких, у больного развивается сильная интоксикация и дыхательная недостаточность. Сегментарное поражение, как правило, протекает в легкой форме, без сильной лихорадки и кашля, а крупозное сопровождается выраженной симптоматикой, высокой температурой, помрачением сознания. Если воспаление затронуло нижние сегменты легких, человек ощущает боли в животе или в боку.
Разные возбудители пневмонии также могут давать разную клиническую картину. При попадании в дыхательную систему микоплазм и хламидий к общим симптомам присоединяются боли в мышцах и суставах, заложенность носа, дискомфорт в горле, но патологический процесс протекает легко. Поражение легионеллами характеризуется выраженными симптомами, а заболевание протекает в тяжелой форме, и может вызвать серьезные осложнения.
ВАЖНО! У больных зрелого возраста сильная лихорадка, как правило, отсутствует, а показатели температуры остаются в пределах 37-37,5 градусов, что затрудняет постановку диагноза.
Чем опасна
При тяжелом течении внебольничная пневмония может вызвать целый ряд серьезных осложнений, включая:
- абсцесс легкого;
- гнойный плеврит;
- отек бронхов и легких;
- сердечная недостаточность, миокардит;
- инфекционно-токсический шок;
- нарушения свертываемости крови;
- расстройства работы нервной системы.
У больных моложе 60 лет при отсутствии сопутствующих патологий и своевременной диагностике заболевание имеет благоприятный прогноз и хорошо поддается лечению.
Диагностика
Постановка диагноза при внебольничной пневмонии включает лабораторные и инструментальные методы, которые позволяют не только выявить патологический процесс, но и определить его масштаб и локализацию.
В первую очередь проводится внешний осмотр больного и выслушивание грудной клетки – при наличии воспалительного процесса в легких будут слышны характерные влажные хрипы.
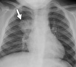
Основной метод диагностики пневмонии – рентгенологическое исследование (на снимках области поражения выглядят как темные пятна разного размера и формы). Для определения возбудителя болезни и его чувствительности к терапии проводятся клинические анализы крови, мокроты.
При необходимости в качестве дополнительных методов исследования используется КТ, МРТ и бронхоскопия. Дифференциальная диагностика при внебольничной пневмонии проводится с бронхопневмонией, бронхитом, ХОБЛ, злокачественными новообразованиями дыхательных путей и другими заболеваниями после чего ставят дифференциальный диагноз.
СПРАВКА! При отсутствии выраженных симптомов диагностика пневмонии затрудняется, а в некоторых случаях ее обнаруживают случайно при проведении профилактических обследований.
Лечение
Основа лечения пневмонии – антибиотики, которые подбираются в зависимости от возбудителя заболевания (как правило, применяются пенициллины, фторхинолоны, макролиды), а если он не определен, используются препараты широкого спектра действия. Вместе с антибактериальными средствами больным назначается симптоматическая терапия – жаропонижающие, отхаркивающие и муколитические лекарства, которые облегчают отхождение мокроты и общее состояние. После устранения острых симптомов и нормализации температуры тела рекомендуется пройти курс физиотерапии – элетрофорез, УВЧ, магнитотерапия, массаж и т.д.
Пациентам с любой формой внебольничной пневмонии необходим постельный режим, питание с высоким содержанием полезных веществ, обильное питье, витаминотерапия.
Профилактика
Как и любое другое заболевание, внебольничную пневмонию легче предупредить, чем лечить – для этого следует выполнять ряд простых санитарных правил и клинических рекомендаций:
- отказаться от вредных привычек (в первую очередь от курения), сбалансировано питаться, заниматься легкой физической активностью;
- избегать мест большого скопления людей в периоды эпидемий;
- своевременно лечить ОРВИ, грипп и другие респираторные заболевания;
- соблюдать личную гигиену, мыть руки после прихода с улицы, не переохлаждаться;
- раз в полгода проходить флюорографию для контроля состояния респираторной системы.
Внебольничная пневмония – серьезное заболевание, которое при отсутствии лечения может привести к серьезным последствиям, поэтому при первых симптомах воспалительного процесса следует как можно скорее обратиться к врачу. Своевременная диагностика, правильно подобранная терапия и соблюдение мер профилактики помогут избежать неприятных последствий и рецидивов болезни в будущем.
Оцените статью:
Загрузка…
