Флюорография — традиционный рентгенографический метод диагностики, который по-прежнему используется в современной медицине, хотя является устаревшим.
Исследование заключается в фотографировании изображения на матрицу, с целью выявления воспалительного процесса. Флюорография помогает увидеть признаки заболевания, его локализацию и характер.
Однако, методика не всегда результативна, необходимо понимать, когда проведение не оправдано и стоит обратиться к другим типам диагностических мероприятий.
Типы диагностики: альтернативные методы
Флюорограф цифровой сканирующий (самый безопасный и современный метод диагностики)
Технология рентгеновского сканирования основана на том, что ткани, в зависимости от плотности с различной интенсивностью поглощают излучения.
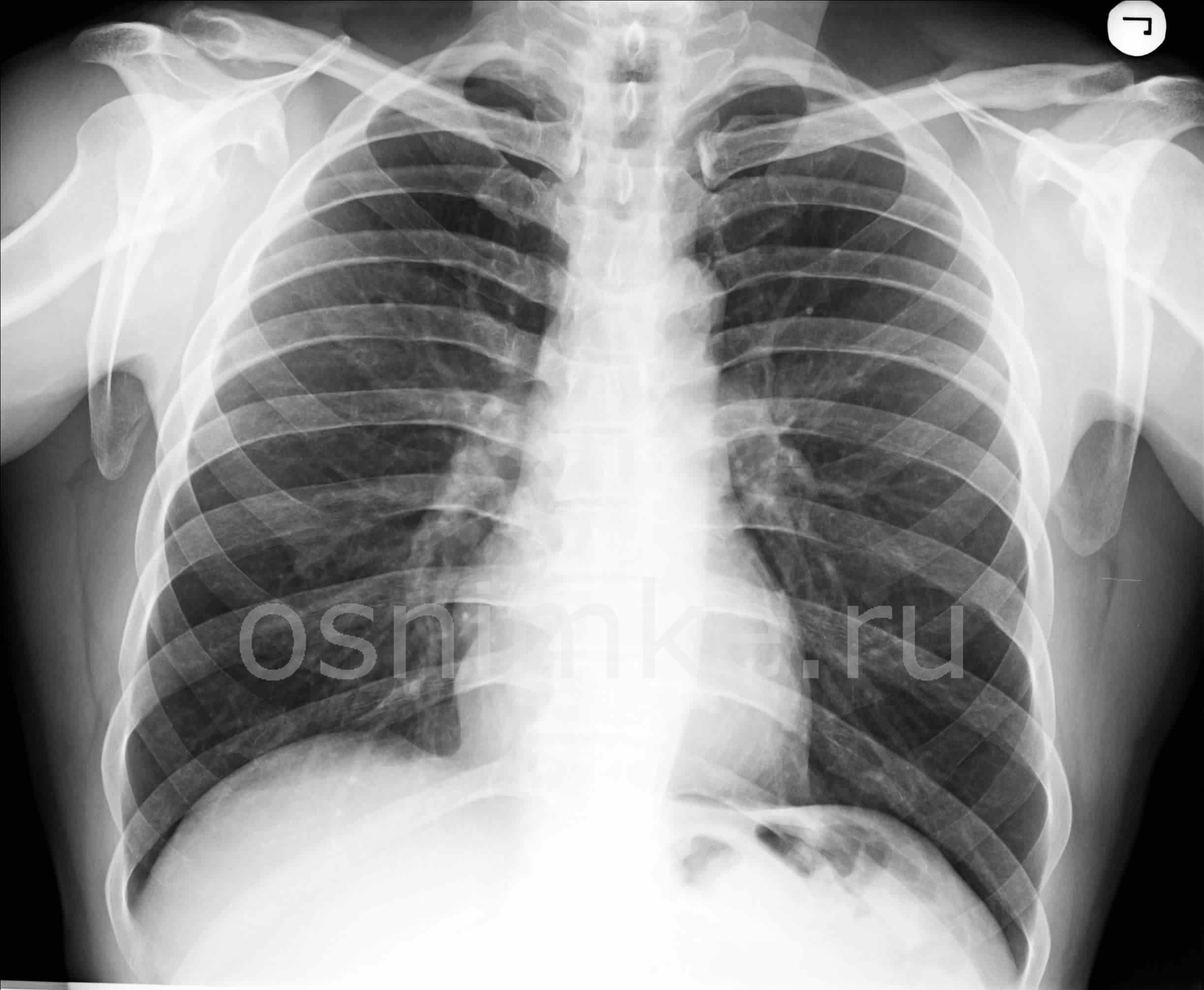
По этой причине, на снимке негатива рентгенофотографии плотные зоны будут белыми, пустые области — чёрными, а органы — серого цвета (от светлого до тёмного).
Что собой представляет флюорография и чем отличается от рентгена в диагностировании патологий респираторного тракта?
Флюорография и рентген
Исследование основывается на прохождении ионизирующих лучей через грудную клетку, и считывается на ПЗС-матрицу или полупроводниковый линейный детектор.
Современные аппараты проводят рентген лёгких и флюорографию на разных аппаратах. Маммография и рентген зубов выполняются тоже на разных установках.
Исследование фиксирует полученный результат на информационный носитель DICOM, HL7. Дозы на цифровых аппаратах составляют 0,02-0,3 мЗВ зависит от:
- вида исследования;
- органа;
- массы тела.
Уделим внимание особенностям двух видов флюорографии: плёночной и цифровой.
Плёночный аппарат
Первый вариант диагностики — плёночный, является бюджетным, применяется в государственных поликлиниках. Однако, такая методика не особо надёжная и информативная, около 20% снимков не дают чёткого результата. К тому же такое исследование не рекомендует ВОЗ, поскольку облучение в несколько раз больше 0,1-0,3 мЗВ.
Вторым вариантом является цифровая флюорография, это наиболее предпочтительная методика диагностики. Она получает чёткую картинку и контролирует настройки уже полученного изображения.
Стоит обратить внимание, что исследование при помощи рентгена обладает большей точностью, и является более вредной, нежели флюорография.
Компьютерная томография или КТ
Современный метод визуализации заболеваний и патологических состояний. Обычно используется, когда ультразвуковое исследование или рентген оказались менее информативными.
Даже учитывая применение современного и дорогостоящего оборудования, доза облучения при КТ лёгких существенно выше, чем в ходе стандартного рентгена, что связано с получением послойных изображений.
Что покажет расшифровка ФЛГ при пневмонии
Покажет ли флюорография пневмонию, насколько эффективна методика в определении заболевания? Действительно, флюорография выявляет патологические изменения в структурах лёгкого. Однако не даёт точного ответа, чем они вызваны — онкология, воспаление, инфекция.
Рентгенологическими признаками пневмонии считаются следующие симптомы:
- очаговые воспаления на поверхности лёгочной ткани;
- уплотнения сегментарного характера;
- увеличение выраженности сосудистого рисунка;
- наличие экссудата в плевральной полости;
- увеличение грудных лимфатических узлов;
- фиброзное поражение как следствие ранее перенесённой пневмонии.
Как правило, при флюорографии видно несколько признаков патологии, которые нужно оценивать в комплексе, учитывая интенсивность и возможные причины развития.
При обнаружении очагов воспалительного типа следует обратить внимание на:
- размеры очагового образования, их количество;
- место локализации;
- чёткость или размытость контуров образования.
При наличии такого заболевания, как пневмония, на снимках видны множественные уплотнения в нижних сегментах лёгкого.
Опытный и квалифицированный врач сможет отличить образования от раковых. Атипичные опухоли характеризуются нечётким контуром и несимметричным.
В случае обнаружения уплотнений в лёгких за тенью сердца, врач назначает рентген в двух проекциях.
Если сегментарные инфильтраты выявлены впервые, то зачастую это говорит о воспалении крупозного типа. Кроме этого, наблюдается и другая клиническая картина: признаки интоксикации, одышка, нарушение работы сердечно-сосудистой системы.
При изменении лёгочного рисунка — усиление его интенсивности, сказать о наличии заболевания невозможно. Такой признак появляется при усиленном кровоснабжении и развитии воспалительной реакции.
Относительно скопления секрета, то признак не всегда является следствием пневмонии. В отдельных случаях симптом развивается на фоне нарушения водно-электролитного обмена. Поэтому понадобится дополнительный ряд диагностических мероприятий.
В ходе флюорографии визуализируется расширение бронхов, что говорит о наличии отёчности. А при одновременном увеличении грудных лимфоузлов можно говорить о пневмонии.
В каких случаях флюорографии недостаточно
Возможности флюорографии ограничены, диагностика не сможет чётко показать уровень секрета или уплотнения небольшого диаметра. Поэтому зачастую незначительные патологические изменения пропускаются:
- пневмония мелкоочагового типа;
- экссудативный плеврит с небольшим количеством секрета;
- пневмонии атипичного характера с запаздывающей клинической картиной.
Осумкованный экссудативный плеврит
Третий тип воспалений стоит обсудить отдельно. Чаще возбудителем является микоплазма — мельчайшие одноклеточные микроорганизмы и пневмоциста — род грибов класса Pneumocystidomycetes.
Данные патологии не встречаются у здоровых людей, их развитие характерно для пациентов с ослабленным иммунитетом, например, принимающих иммунодепрессанты и больных СПИДом. Они похожи на вирусные пневмонии — сухой кашель, одышка и боль в груди.
Флюорография при данных патологиях не отличается информативностью, поскольку покажет только усиление лёгочного рисунка.
Дополнительно не обойтись без лабораторных анализов. Анализ крови используется для подтверждения признаков инфекции, сопровождается повышением уровня C-реактивного белка и скоростью седиментации (осаждения эритроцитов).
Результаты укажут на необходимость использования в терапии антибиотиков. Назначается микробиологическое исследование крови для определения возбудителя.
Что делать, если пневмония или бронхит налицо, а на снимке флюорографии их признаков нет? В этом случае целесообразно будет проведение информативных методик диагностики.
Выбирать можно между рентгеном и компьютерной томографией, в отдельных случаях назначают МРТ. Другой вариант, провести флюорографию спустя некоторое время при усилении симптоматики патологии. Тогда снимок покажет явные очаги воспаления и образование небольших уплотнений, сливающихся в крупные.
Квалифицированный врач порекомендует не дожидаться выраженных симптомов, а назначит результативные методы исследования — рентген или КТ.
К сожалению, флюорография не всегда указывает на признаки пневмонии, в частности, на ранних сроках её развития. Качественным методом исследования считается рентген в 2 проекциях или КТ.
Компьютерная томография обладает максимальной информативностью и способна выявить зачатки воспалительного процесса, однако, облучение при КТ больше.
Флюорография при воспаление лёгких остаётся важной методикой выявления заболеваний, на поздних стадиях развития. При назначении исследования врач ориентируется на клинические признаки патологии и понимает, что в отдельных случаях целесообразно прибегнуть к современным диагностическим процедурам.
Читайте также:
Пневмония как причина смерти у детей
Видео
Рентгенография грудной клетки – один из наиболее информативных методов диагностики заболеваний дыхательной системы, включая пневмонию. Он позволяет не только выявить патологический процесс, определить его локализацию и особенности, но и оценить эффективность проводимого лечения. Как же выглядят рентгенологические признаки пневмонии на снимках, и как проводится рентгенография при данной патологии?
В каких целях проводят рентгенографию
Пневмония представляет собой воспалительное заболевание, которое вызывают патогенные микроорганизмы – вирусы, бактерии, грибки. Симптомы включают повышение температуры до 38-39 градусов, кашель, одышку, хрипы в грудной клетке, ухудшение общего самочувствия. Сложность диагностики пневмонии заключается в том, что вышеперечисленные признаки характерны не только для воспаления легких, но и для других заболеваний – острого бронхита, плеврита, онкологических процессов и т.д.
Рентгеновское исследование основывается на сканировании внутренних органов с помощью специального аппарата, который излучает электромагнитные волны определенной длины. Проходя сквозь ткани человеческого тела, они оставляют на поверхности пленки следы, из которых формируется изображение соответствующего органа. По ней можно определить патологические изменения и составить полную картину разных заболеваний, в том числе воспалительных процессов в респираторных органах.
В число показаний к проведению рентгена грудной клетки входит кашель с обильным отделением мокроты, сильная лихорадка (38-39 градусов), озноб, боли в груди и другие признаки, которые могут свидетельствовать о патологических процессах в органах дыхательной системы.
ВАЖНО! Постановка диагноза при пневмонии должна основываться не только на рентгеновских снимках, но и на результатах выслушивания грудной клетки, анализов крови и мокроты и других методах обследования.
Существует два основных способа проведения процедуры – обычный (пленочный) рентген и цифровой, который позволяет получить более четкие и информативные снимки, а также снижает рентген-нагрузку на организм. Выбор методики зависит от оснащения конкретного медицинского учреждения – аппараты для цифровой диагностики есть далеко не во всех больницах и поликлиниках.
Чем отличается от флюорографии
Рентгеновское и флюорографическое исследование имеют один и тот же принцип, но при диагностике пневмонии предпочтение отдается рентгену.
Флюорография позволяет выявить изменения в тканях легких на ранних стадиях, но не дает достаточно четкой рентгенологической картины для постановки точного диагноза.
Вместе с тем, коэффициент облучения при проведении процедуры гораздо меньше, чем при рентгеновском исследовании, поэтому флюорографию делают в профилактических целях, а рентген – непосредственно для диагностики патологических процессов при наличии соответствующих симптомов.
Может ли не показать воспаление легких
Пневмония имеет множество форм клинического течения, а очаги воспаления могут располагаться в любом сегменте легких, и в некоторых случаях определить заболевание по рентгенограмме бывает непросто, особенно если поражен небольшой участок органа. Если после проведения исследования у врача остаются сомнения, больному назначаются дополнительные диагностические процедуры – как правило, КТ или МРТ.
СПРАВКА! Труднее всего выявить пневмонию у детей, страдающих от иммунодефицитных состояний, поэтому в таких случаях ребенка лучше сразу направлять на КТ или МРТ.
Как выглядит недуг на снимке
После проведения рентгенографии снимки должен изучить специалист, и на основе полученных данных и результатов других исследований сделать соответствующие выводы и поставить диагноз. В норме легкие и бронхи человека выглядят следующим образом:
- легочные доли имеют одинаковый, равномерный черный оттенок;
- в районе сердца наблюдается белый просвет;
- ребра и ключицы серые, с привычными очертаниями;
- купола диафрагмы белого цвета;
- позвоночный столб расположен в центре.
Признаки пневмонии на рентгеновском снимке во многом зависят от формы заболевания и его стадии, а также от локализации патологического процесса. Если исследование показало признаки пневмонии, необходимо как можно скорее приступить к лечению – запущенный патологический процесс опасен не только для здоровья, но и для жизни человека.
Основные признаки, описание
Первый признак пневмонии на рентгеновском снимке – появление очагов затемнения с неровными контурами в разных частях легкого, которые могут иметь разный размер, от 3-4-х до 12 мм.
Тени различают по внешнему виду (круглые, овальные кольцевидные) и интенсивности окраски – чем темнее пятно, тем сильнее выражен патологический процесс.
При поражении лимфатических узлов и нарушении кровоснабжения органа могут наблюдаться изменения корней легких, а если болезнь затронула плевру – нарушение в рисунке куполов диафрагмы. В остальном проявления пневмонии зависят от стадии, формы и клинических особенностей заболевания:
- Очаговая форма. На рентгене отображаются небольшие (1-1,5 см) тени со слабой или умеренной интенсивностью окраски, неоднородной структурой и нечеткими границами. Очаги поражения могут быть единичными или множественными, а в некоторых случаях они сливаются в одно большое пятно. Корни легких расширены, причем нарушения нормального рисунка органа могут сохраняться в течение нескольких дней после выздоровления.
- Крупозная пневмония. Наблюдаются изменения нормального легочного рисунка, жидкость в полости плевры, признаки инфильтрации одной из долей легкого, расширение корней. По мере развития воспалительного процесса выраженность изменений и интенсивность окраски затемнений усиливается.
- Интерстициальная форма. На снимке заметно уплотнение корней легких и другие изменения, которые формируют выраженный рисунок, напоминающий ветви дерева.
- Абсцедирующая пневмония. Проявляется обширным затемнением пораженной области, признаками утолщения плевры и наличием полостей разного размера, наполненных жидкостью.
- Аспирационная форма. Рентген характеризуется треугольными пятнами с однородной структурой, светлыми очагами и приподнятой диафрагмой.
ВАЖНО! Сложнее всего поддается диагностике очаговая пневмония – на первых стадиях она проявляется небольшими очагами инфильтрации, которые не всегда заметны на рентгене.
Стадии заболевания
Воспалительный процесс при пневмонии протекает в несколько этапов, причем каждый из них характеризуется определенными изменениями на рентгеновских снимках.
- Стадия прилива. Первая стадия болезни продолжается от 12 до 72 часов и проявляется усилением кровообращения в легких, ухудшением их функций и образованием жидкости в альвеолах. На снимках наблюдается четкий рисунок органа, который напоминает решетку, размытость крайних точек и увеличение корней.
- Стадия опеченения. Ткани легких уплотняются, и становится похожей на ткани печени. Рисунок легких на данной стадии выражен не так интенсивно, на нем формируются темные пятна со светлыми полосами, корни органа расширены, причем особенно это заметно на пораженной стороне. По мере развития патологического процесса очаги воспаления затемняются, а наличие жидкости хорошо заметно на снимках.
- Стадия разрешения. Начало регенерации тканей легких: снижение интенсивности рисунка органа и окраски затемнений, исчезновение крупных элементов в месте поражения и признаков наличия жидкости.
СПРАВКА! Изменения в легочном рисунке могут присутствовать на протяжении нескольких недель после выздоровления.
Как часто можно проходить рентгенодиагностику
В среднем рентгенологическое исследование рекомендуется проходить не более 1-2-х раз в год, но при пневмонии процедура проводится чаще, так как риск развития осложнений превышает опасность от радиационного облучения. Как правило, рентген выполняется не менее 3-х раз – при постановке диагноза «пневмония», через 3-5 дней после начала терапии для контроля ее эффективности, а также после исчезновения клинических симптомов. Повторные снимки после выздоровления больного надо делать для предупреждения осложнений и последствий заболевания – абсцессы легких, разрастание фиброзной ткани и т.д.
Читайте также:
Какие хрипы когда пневмония проходит
Противопоказания
Относительными противопоказаниями к проведению процедуры являются беременность (особенно первый триместр) и тяжелое состояние больного. Однако при наличии характерных симптомов процедура рекомендована всем без исключения, в том числе будущим мамам – для уменьшения негативного воздействия на плод живот беременной закрывают специальным фартуком, который не пропускает рентгеновские лучи. Точно определить пневмонию без рентгеновского снимка практически невозможно – из-за отсутствия специфических симптомов слишком велика вероятность ошибки и неправильного лечения.
Полезное видео
Ознакомьтесь подробно о рентгенографии при пневмонии на видео ниже:
Пневмония – опасное заболевание, которое при отсутствии соответствующей терапии может привести к серьезным последствиям. Единственным способом выявить патологические изменения в легких является рентген, поэтому не стоит пренебрегать данной процедурой – своевременное исследование поможет предотвратить угрозу не только для здоровья, но и для жизни больного.
Оцените статью:
Загрузка…
Пневмония – воспаление легких, которое может возникать в любом возрасте, но чаще у детей. Она разделяется по этиологии (вызвавшим ее возбудителям), степени тяжести, локализации воспаления (очаговая, крупозная, сегментарная, прикорневая и пр.). Фото снимков при пневмонии можно увидеть ниже.
Причины
Как и любое заболевание, пневмония возникает на основе определенных предпосылок. Воспаление может развиться при:
- поражении легких пневмококком;
- развитии других кокковых инфекций;
- переохлаждении и осложнениях ОРВИ (как результат неправильного лечения);
- как осложнение при детских инфекциях – корь, ветрянка, краснуха;
- снижении иммунитета;
- состоянии иммунодефицита при других заболеваниях.
Симптомы
Пневмония проявляется такими признаками:
- слабость, гипергидроз;
- повышенная утомляемость и головные боли;
- сниженный аппетит и миалгии;
- боль в груди;
- одышка в покое и учащение сердцебиения.
Помимо этих общих проявлений, клиника зависит от тяжести поражения. Это может проявляться в виде высокой температурой, смены сухого кашля влажным с выделением гнойной мокроты, бледности кожных покровов и синюшности носогубного треугольника.
Лечение при пневмонии обязательно, иначе все может закончиться летально. Особенно тяжело пневмония протекает у малышей. Вот, почему важное значение имеет своевременная постановка диагноза.
Определить пневмонию можно с помощью данных аускультации и клиники; анализа крови (картина лейкоцитоза), инструментального исследования — флюорографии (ФЛГ) или рентгена легких – снимок легких при пневмонии.
Рентгенография назначается не всем подряд, а только в случае сочетания нескольких указанных симптомов. Поэтому для постановки точного диагноза врач может назначить рентгенографию не каждому пациенту.
Конечно, рентген можно и не сделать. Но тогда врачу трудно будет сориентироваться на предмет того, что же по факту происходит в легких. Следовательно, и борьба с пневмонией может быть неэффективной. Поэтому при легочных патологиях рентген — процедура крайне важная.
ФЛГ проводится ежегодно в профилактических целях, при диспансеризации.
Рентген — применяется уже для полной диагностики и подтверждения данных от ФЛГ. Нередки случаи, когда назначается повтор рентгена.
Повторный снимок пневмонии делают для выявления интенсивности меняющихся теней в ходе лечения, для дифференцировки вида пневмонии – степени поражения сегментов или долей, а также для контроля результативности лечения.
Противопоказания для проведения рентгена
Противопоказания должны быть минимальными. Особенно это важно при беременности.
Если польза рентгенографии перевешивает, ее проводят, но с соблюдением всех предосторожностей: используют свинцовые фартуки, количество рентген-лучей дается минимальное, число исследований прекращается.
Также он противопоказан:
- детям до 14-16 лет;
- при тяжелом состоянии больного;
- при кровотечениях.
На чем основаны методы
В основе метода лежит свойство рентгеновского луча проходить через непрозрачные ткани, сохраняя при этом свою активность. Это касается и флюорографии органов грудной клетки, рентгена, рентгеноскопии. Методы отличаются только дозой облучения и способом получения картинки.
Рентгенограмма – это негатив, поэтому затемнения на нем имеют белый цвет и наоборот. Человеческий организм состоит из разных тканей и у всех них разная степень поглощения рентгеновских лучей.
На снимке легких при пневмонии получается, что негатив окрашивает самые плотные части в белый цвет, и кости в т.ч., пустые части – делает черными, органы – дают серые цвета разных оттенков.
Конечный результат картинки получается неоднородным. При здоровых легких структура как раз отличается однородностью. Если присутствует пневмония, на рентгеновских снимках затемненные участки уплотнений указывают на очаги воспаления. Высветленные участки – ткани воздушные. Диагноз пневмонии по снимку ставится в том случае, когда имеются:
- одиночные или множественные пятна;
- сегментарные уплотнения;
- светлые и затемненные конкретные участки;
- измененные корни легких.
Как выглядит воспаление легких на рентгене
Очаги воспаления бывают мелкие — не более 3 мм, среднего размера — не больше 8 мм. При размере равном 8-12 мм они говорят о крупных участках поражения. Кроме этого, затемнения могут быть разными по распространенности в одном сегменте.
Читайте также:
У ребенка сильный кашель после пневмонии
Крупозная пневмония
Рентгеновские снимки пневмонии крупозной выглядят как крупное затемнение средней интенсивности. Оно может быть на одном или обоих легких.
Купол диафрагмы оказывается измененным, появляются тени инфильтрации – с любой стороны или с обоих, средостение также сдвигается в сторону поражения. Рисунок легких полностью деформируется.
Очаговая пневмония
Ее диагностировать трудно, особенно на ранних этапах. При очаговой пневмонии уплотнения небольшие и называются они инфильтратами (всегда приводят к увеличению и расширению корня легких). В первые дни болезни инфильтраты могут и не определяться, но вскоре на их месте появляется воспалительный очаг уплотнения.
Пневмония на рентгеновских снимках у детей
Воспаление у детей протекает с частыми осложнениями при отсутствии должного лечения. Процесс перехода даже минимального инфильтрата в крупозную пневмонию – явление частое и резкое.
Снимок пневмонии у детей открывает часто перед врачами следующую картину: инфильтраты не более 2 мм, лимфоузлы визуализируются плохо, воспаленные участки плотные и перекрывают корень легких. Рисунок легких нарушен, легочная ткань оказывается вздутой. Это создает дополнительные трудности в диагностике. К тому же, детские легкие имеют малый объем, и на единицу площади приходится большое количество воспалительных элементов рисунка легких.
Интерстициальная пневмония
В случае с интерстициальной пневмонией у взрослого снимок отражает расширенный корень легких за счет прикорневой воспалительной инфильтрации. Перибронхиальные участки в этом случае уплотнены. Бронхососудистый пучок неравномерно расширен.
ФЛГ — как метод диагностики пневмонии
Флюорография по своей сути заключается в прохождении рентген-лучей через грудную клетку человека и перенесении полученного результата на экран, а затем на пленку.
Метод, прежде всего, нужен для выявления ТБ, онкологии, исследования других органов. ФЛГ может выявить:
- воспалительные изменения бронхов и легочной ткани, которыми сопровождается пневмония;
- экссудацию в легких;
- разрастание соединительной ткани при некоторых легочных заболеваниях.
Преимущества ФЛГ
У данной методики исследования признаков пневмонии есть свои положительные стороны. К преимуществам флюорографии можно отнести:
- малая доза облучения;
- экономичность;
- возможность массового применения;
- быстрый результат;
- есть возможность создания архива снимков за счет их маленьких размеров.
Виды флюорографии
Пленочная ФЛГ – самый дешевый метод диагностики, но в 15% случаев точного результата не бывает, возникает брак, из-за чего приходится исследование повторять. А это уже вторая доза облучения. Помимо этого, снимок получается только в 1 экземпляре.
Цифровая ФЛГ этих недостатков не имеет и доза облучения здесь меньше. При современном программном обеспечении врач может исследовать снимок и после окончания обследования.
Данные сохраняются, и при необходимости после цифровой флюорографии легких пациент может попросить распечатать нужное ему количество снимков. Это бывает нужно в сложных случаях диагностики, когда требуется обращение к нескольким врачам.
Флюорография остается на сегодня все-таки профилактическим методом диагностики. Ежегодно население РФ, достигшее 18 лет, проходит флюорографию.
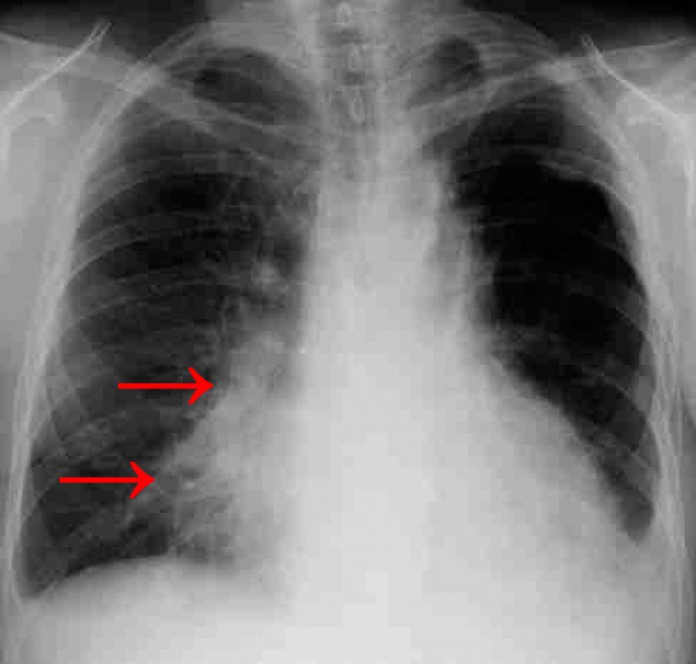
Пневмония на снимке флюорографии
В нижней части легких на каждом конкретном снимке в таких случаях видны воспалительные участки. Определяются очаги воспаления размером более 5 мм, которые расположены на чистых участках легких. Но при проведении последующей рентгенодиагностики эти очаги подтверждаются не всегда.
При флюорографии рисунок не всегда четкий. Подозрение на развитие пневмонии на снимке возникает из-за видимых очагов инфильтрации, а также пятен на фоне тени сердца. Даже 1 отклонение требует продолжения диагностики.
Кроме всего, признаком пневмонии на ФЛГ считается присутствие тонких линейных теней, но они часто нечеткие. Поэтому разобраться в этом может только опытный врач.
Когда речь идет о пневмонии у новорожденных на фоне врожденных иммунодефицитов, на ФЛГ выявляется также усиленный легочный рисунок. Другие признаки заболевания можно выявить только к третьему месяцу жизни.
О развитии пневмонии на снимке флюорографии будет говорить также наличие множественных инфильтратов в нижних долях легких.
Для определения их четкой локализации понадобится дополнительное исследование в боковой и прицельной проекциях. Если имеются сегментарные уплотнения, они говорят в пользу крупозной пневмонии. Расширенный корень легких у детей на ФЛГ свидетельствует об остром бронхите или отеке бронхов.
Флюорография и рентген при обнаружении пневмонии
Обнаружить пневмонию при помощи флюорографии возможно, но далее, как правило, неизбежны дополнительные обследования. Почему? Несмотря на такое количество характерных признаков, флюорография не всегда покажет патологию.
Наличие пневмонии на снимке она выявит, но диагностировать ее происхождение, стадию и вид при использовании одной лишь ФЛГ сложно. Снимки при ФЛГ всегда делаются только в 1 проекции. Размеры снимка очень малы, чтобы детально выявить изменения.
Некоторые виды пневмоний на ФЛГ не определяются вообще:
- Пневмоцистная. Отмечается выраженность легочного рисунка, а также интенсивная пневматизация.
- Микоплазменная и хламидийная. На флюорографическое снимке не характерных изменений.
Вот и получается, что обзорный рентгеновский снимок легких намного более информативен и ценен: и снимки больше, и видно лучше, и доза облучения, получаемая пациентом, в целом меньше.
Если искать мелкие очаги пневмонии на снимке, понадобится рентген легких в нескольких проекциях.
В итоге поставить конкретный диагноз только с помощью ФЛГ невозможно. Она чаще используется для:
- выявления процессов разрастания фиброзной и соединительной ткани;
- обнаружения инородных тел в грудной клетке;
- определения пневмоторакса;
- контроля расположения катетеров и трубок в сосудах, дыхательных путях и камерах сердца;
- оценки состояния грудной клетки при травмах.
Особенности рентгенографии
Проведение рентгена сегодня также делится на пленочное и цифровое. Чувствительность рентгеновского экрана выше, чем при флюорографии. Но количество облучения больше, потому рентген облучает все внутренние органы. А не только грудную клетку.
Что выбрать: рентген или флюорографию
Рентген позволяет врачу рассмотреть состояние легких более внимательно и поставить диагноз. Но это не умаляет ценность ФЛГ. В диагностике важны оба способа.
Хотя флюорография — не самый информативный метод диагностики, помочь в выявлении патологии легких она может. Поэтому не стоит ее избегать, ведь ее польза в случае ранней диагностики колоссальна.












