Десневой свищ
По внешнему виду и структуре похож на каналы для удаления гнойного содержимого. Имеет диаметр 3-6 мм с острием белого цвета на поверхности. В середине десны происходит воспалительный очаг, а уплотнение говорит о том, что свищ разрастается. В народе такую проблему называют «белая шишка на десне». Если заболевания вовремя не начать лечить, оно переходит в хроническое.
Принцип лечения
- Для избавления от гнойного скопления и болевого ощущения назначается полоскание полости рта водным раствором с содой (на 200 мл теплой воды – ½ чайной ложки соды).
- Полоскание — до полного рассасывания шишки с гноем, каждые 1,5-2 часа.
Безболезненные шишки на десне
Если шишка на десне не болит и прикосновение к ней не причиняет дискомфорта, то это говорит о развитии одного из следующих заболеваний.
Свищ – белая шишка на десне
Свищ образуется на зубе или под ним. Отличается наличием отверстия для выхода нагноений.

Если при нажатии гной свободно вытекает из отверстия, то больной не ощущает никакого дискомфорта. Если же выход закупорен запекшейся кровью или уплотненном гноем – любое прикосновение к уплотнению будет отзываться болью в челюсти.
Чаще всего свищ образуется на фоне осложненного периодонтита, который сопровождается гиперплазией дёсен. Разросшиеся ткани могут послужить хорошим пристанищем для размножения бактерий.
При отсутствии лечения перетекает в хроническую форму, которая лечится только при помощи хирургического вмешательства.
Свищ нельзя оставлять без лечения. Прогрессируя, заболевание может спровоцировать выпадение даже здоровых зубов.
Экзостоз – твёрдая шишка
Экзостоз — это челюстная аномалия, при которой кости черепа выходят наружу и выступают над челюстью – в ротовой полости. Со временем шишка может увеличиться в размерах, что будет доставлять больному боль и дискомфорт.
Спровоцировать развитие заболевание может одна из следующих причин:
- Травма челюсти.
- Патология формирования кости наследственного характера.
- Врождённые аномалии.
- Патологии тканей в результате удаления зуба.
Узнать о наличии болезни можно во время стоматологического осмотра или же при получении результатов рентгеновского снимка. Удаление шишки происходит в случае риска перехода доброкачественного образования в злокачественное.
Экзостоз на десне после удаления зуба
Эпулис – опухоль на ножке
Эпулис – это нарост на десне грибообразной формы. Оно может быть красным, а может и не отличатся от дёсен по цвету.
К причинам развития этого заболевания можно отнести:
- Ошибка, допущенная при пломбировке больного зуба или установка пломбы слишком большого размера.
- Множественные отложения зубного камня.
- Травма челюсти.
- Патологии прикуса.
- Нарушения гормонального фона.
- Неправильно установленные протезы или некачественный материал для протезирования.
Эпулис очень схож по своей симптоматике с гингивитом, поэтому для постановки точного диагноза врач назначает пациенту прохождение гистологического теста и рентгенографию. С помощью этих процедур устанавливается степень поражения костной ткани на месте очага патологии.
Чаще всего эпулис образуется у женщин или детей в период роста молочных зубов.
Периодонтит – плотная шишка на десне
Первопричиной развития периодонтита считается пульпит или наличие в челюсти открытого зубного канала. На верхушке зубного корня образуется гнойник, который со временем превращается в кисту.
Гематома – опухоль водянистого вида
Гематома – это последствие неосторожного удаления зуба. Не представляет собой опасности для здоровья. Выглядит она как водянистая опухоль, которая, рассасывается спустя некоторое время после операции.
Периодонтит
Преимущественно выглядит как уплотнение, поэтому пациенты при описании проблемы говорят «твердая шишка на десне». Болевых ощущений нет, диаметр уплотнения не более 1 см. Причина возникновения – пульпит или вовремя незапломбированные зубы. Не вылеченный вовремя гнойный очаг приводит к гранулемам и кистам.
Принцип лечения
- При незначительном воспалении снимаются пломбы, проводится чистка, расширение каналов. Затем рану обрабатывают, ставят временную пломбу, назначают антибиотики. После проведенного лечения ставится постоянная пломба.
- При осложнениях периодонтита гной может прорваться в кость. Такое осложнение называется периостит или флюс. Кроме появления свища отекают мягкие ткани на деснах, губах, щеках, повышается температура, лимфатические узлы воспалены, боль невыносимая. Метод лечения аналогичен предыдущему, но под пломбу помещается лекарственный препарат. Повторное промывание проводится антисептиками через 60-90 дней, опять закладывается лекарство на такой же промежуток времени. Процедура повторяется трижды, после чего можно ставить постоянную пломбу.
- При разрастании кист возле корней зубы удаляются.
Почему вырастают шишки там, где им несвойственно?
Появление шишки на десне может быть связано с недостаточной гигиеной ротовой полости или же с каким-либо заболеванием:
- Самой частой причиной этого симптома является зубной налет, который обычно не только вызывает кариес на зубах, но и распространяет инфекцию в деснах. Процесс инфицирования приводит к воспалению десен.
- Неправильное лечение кариеса может дать осложнение, в результате чего появится воспалительный процесс на десне.
- Хронический периодонтит ведет за собой периодическое обострение, которое вызывает появление наростов на деснах.
- Вставные зубы или протезы через небольшой промежуток времени после установки могут давать такой симптом. Воспалительный процесс в десне возникает из-за плохой антисептической обработки инструментов или ротовой полости во время лечебного процесса.
- Начинающейся флюс проявляется появлением небольшой шишки на десне возле зуба, которая очень быстро растет и воспаляется.
- Киста на десне проявляется таким симптомом.
- Свищ – частая причина появления наростов. Гнойное образование в десне ищет выход наружу и формируется шишка. В ней по центру образуется свищ, через который гной выходит наружу.
- Следствие травмы. Такой симптом проходит со временем самостоятельно.
- Онкологические заболевания приводят к метастазам в челюсти и появлению выпуклых образований.
- Фибропапиллома (доброкачественная опухоль).
Во время неаккуратной чистки зубов может возникнуть небольшая травма, которая впоследствии приводит к попаданию туда инфекции и как следствие появлению прыщиков на деснах.
Пародонтит
Десны воспаляется по причине расшатывания зубов и образования щели, так называемого десневого кармана. В таких щелях накапливаются бактерии, начинает скапливаться гной, из-за чего на деснах выступают выпуклые шишки белого цвета.
Принцип лечения
- Первично удаляется зубной налет, затем промываются десневые карманы специальными препаратами.
- При глубоких карманах необходима депульпация пораженного зуба.
- Назначаются антибиотики, затем проводится кюретаж пародонтального кармана.
Почему появляются шишки
Причин появления новообразования минимум три.
- Одна – механическая. Во время операции экстракции травмируются околозубные мягкие ткани. Поврежденный участок видоизменяется, поскольку нарушается структура ткани. Образуется застой кровообращения и шишка, напоминающая тромб.
Врач может травмировать ткани
- Вторая аллергическая. Представляет собой химическую реакцию на поступление в организм лекарственных или анестезирующих препаратов. Может возникнуть в месте введения инъекции анестетика. В этом случае образование гематомного характера, наполненное жидкостью.
Анестезия
- Третья, самая распространенная причина – инфекционного характера. Бактерии, которые живут в ротовой полости, проникают в постоперационную лунку и вызывают заражение тканей. Здесь шишка мягче и наполнена гнойными образованиями.
Шишка образовалась из-за инфицирования
Последняя причина возникает в большинстве случаев из-за некачественной гигиены полости рта. Частично – из-за врачебных ошибок и несоблюдения протокола операции, когда санация полости проведена в недостаточном объеме. Если рана по каким-то причинам открыта (не сформирован или удален защитный кровяной сгусток), инфекция легко туда проникает и развивается в гнойный процесс.
Развитие альвеолита в лунке после удаления зуба
Важно! В результате отсутствия или проведения некачественной гигиены происходит скопление на зубах и деснах, языке и слизистых бактериального налета, который является комфортной средой для размножения бактерий. Они наслаиваются друг на друга, перемежаясь с остатками не удаленной с зубной поверхности пищи. Это ведет к образованию зубного камня и развитию кариозных процессов.
Ситуационно образование патологического нароста выглядит так:
- кровяной сгусток отсутствует – защиты от бактерий у раны нет, в нее попала инфекция;
- в лунку попали частицы твердой пищи и загнили там;
- при травмировании десны образовалась гематома;
- шишка вздулась вследствие аллергической реакции.
Так должна выглядеть нормально заживающая лунка на месте зуба мудрости
Важно! Во всех случаях появления данного образования его не стоит трогать руками или любыми предметами, и ни в коем случае нельзя прокалывать или пытаться каким-либо способом самостоятельно удалить.
Как лечить народными средствами
При появлении свища на десне любого характера, рекомендуется воспользоваться народными средствами. Это дает более положительный эффект.
- Сок каланхоэ – обладает антимикробным, противовоспалительным свойством. Втирается в место образования свища.
- Настойки из лекарственных трав (календулы, аптечной ромашки, мелиссы, шалфея) – снимают воспаления, рассасывают шишки. Применяются в виде теплых растворов для полосканий.
- Смесь из морской соли и меда – выводит гной, оказывает антибактериальное действие. На 2 ложки меда берется 1 чайная ложка соли.
Как не допустить образования шишек
Основными профилактическими мерами являются:
- Инструкция, которую дает врач после удаления, должна быть полностью соблюдена;
- Регулярная и полноценная индивидуальная гигиена полости рта;
- Принимать пищу можно только через 2-3 часа после удаления зуба;
- Воздержаться от активных полосканий в течение 3-4 дней.
Предупредить всегда проще, чем лечить. Поэтому важно не допускать развития инфекции особенно тогда, когда местная защита ослаблена, и заболевание может принять более тяжелое течение.
Подход к лечению
Лечение шишек на десне будет зависеть от причины их появления.
Травма, как фактор-провокатор
При травматических гематомах особенного лечения не требуется, если не поврежден сам зуб. Чаще всего такое образование проходит постепенно самостоятельно.
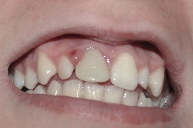
Наличие свища
На фото наружный свищ — шишка на десне
Диагностировать свищ можно с помощью рентгеновского снимка.
Доктор сможет оценить ситуацию и принять решение по поводу сохранения или удаления зуба.
Наравне с лечением кариеса необходимо применять меры по уменьшению свища, лечение заключается в нескольких обязательных мероприятиях:
- частое полоскание достаточно теплым солевым раствором – основное средство уменьшить воспаление в десне и активно выводит гной наружу;
- стоматолог обязательно должен очень тщательно вычистить каналы и обработать полость специальным средством, которое уничтожает бактерии и не дает развиваться воспалению;
- иногда назначается терапия антибиотиками, чтобы избежать дальнейшего заражения;
- после полной обработки и чистки каналов их пломбируют, и через несколько дней ставится постоянная пломба.
После всех лечебных процедур достаточно быстро происходит заживление свища. Если такой симптом возникает возле уже запломбированного зуба, то стоматолог обязательно должен ее вскрыть и проделать все необходимые мероприятия. После чего налаживается новая пломба.
Лечение кисты
Если к врачу нет возможности обратиться сразу после появления кисты на десне, то можно избежать хирургического вмешательства и использовать медикаментозное лечение или же поверхностную хирургию.
Для этого под местным обезболиванием надрезается киста и убирается оттуда весь гной. Если возникает необходимость, то налаживается шов.
При запущенной форме заболевания требуется более серьезное лечение – операции:
- Цистэктомия проводится для удаления кисты полностью и одновременно иссекается часть верхушки корня больного зуба.
- Гемисекция подразумевает удаление не только кисты и верхушки зуба, но и какой-то части самого поврежденного зуба. После такого вмешательства необходимо провести реставрацию зуба используя коронку.
Принять решение о способе лечения кисты может врач после проведенного рентгена и дополнительных анализов. Для облегчения состояния при первых признаках появления кисты можно использовать несколько народных методов ее лечения:
- подержать небольшое количество кунжутного масла во рту в течение 5-10 минут;
- прикладывание тампона из марли, пропитанного несколькими каплями кунжутного масла;
- полоскание раствором с добавлением прополиса.
Терапия хронического и острого периодонтита
Любую форму периодонтита необходимо лечить только у стоматолога. В домашних условиях можно только снять острую боль или же во время прохождения лечения у доктора параллельно в домашних условиях полоскать ротовую полость отварами из лекарственных трав.
Прежде всего, необходимо прочистить каналы. Причем этот процесс происходит поэтапно. Каждый раз нужно расширять каналы, чистить их и закладывать антисептик.
Иногда после такого лечения требуется оставить зуб без постоянной пломбы на 3-6 месяцев. Это делается для того чтобы посмотреть не будет ли опять воспаляться пораженный зуб.
Для качественного лечения периодонтита в открытые каналы закладывается лекарства на основе антибиотика. Менять это лекарство в канале необходимо один раз в несколько дней.
Флюс — крайне неприятное явление
При появлении флюса обращение к стоматологу должно быть первым действием.
Если необходимо дождаться утра или рабочего дня, то при сильных болях можно принять обезболивающее средство и как можно чаще полоскать полость рта солевым раствором.
Первая помощь в домашних условиях
Если появление шишки на десне пришлось на выходной день или в вечернее время, то чтобы убрать боль и немного снять воспаление можно использовать несколько методов:
- Принять обезболивающее средство. Во время его использования необходимо четко соблюдать временные промежутки по инструкции между приемами во избежание передозировки.
- Полоскание содовым раствором с добавлением йода заметно успокоит боль и воспаление на десне. Также такой раствор поможет вытянуть гной из свища.
- Полоскание с настойкой прополиса полезно при всех видах шишек на десне и заметно улучшает состояние зубного ряда.
- Клюквенный сок может помочь временно облегчить ситуацию – уменьшить боль и снять сильное воспаление.
- Использование зубных капель допустимо в крайних случаях. Очень часто ими пользоваться нельзя, иначе можно сжечь слизистую ротовой полости.
Можно попробовать приложить компресс из кубиков льда, если холод не причиняет сильной боли и пульсации зуба.
Самостоятельно вскрывать и вычищать шишки запрещается иначе можно занести инфекцию в кровь и получить ее заражение.
Экостоз
Такие костные выступы на деснах являются сами по себе совершенно безболезненными, но они имеют одну особенность — со временем они становятся больше по размеру и тогда начинают оказывать ощутимое давление на зубы, в частности — на их корни. При экостозах человек лишен возможности пользоваться зубными протезами, потому что они будут раздражать поверхность шишки, тем самым вызывая приступы острой боли.
- Наследственный фактор,
- Врожденные аномалии строения челюстей,
- Перенесенные травмы челюсти,
- Результат неправильного срастания костной ткани после удаления зубов.
Самостоятельно диагностировать данную патологию не всегда представляется возможным. Больной ощущает проявление болезни как шарик на десне, но что это конкретно скажет только специалист. Диагностика включает в себя визуальный осмотр ротовой полости и рентгенограмму.
Удаление экостозов проводится только путем хирургического вмешательства. Однако пациент может и отказаться от проведения операции, мотивируя такое решение отсутствием болезненных ощущений и неудобств. Но в таком случае очень важно помнить, что экостоз со временем может превратиться в злокачественное образование.
Народные способы лечения шишки над зубом
Из-за ряда причин (боязнь стоматологов, нехватка времени для визита к врачу) многие люди предпочитают использовать методы народной медицины, а не традиционное лечение. Действительно, народная медицина эффективна, но только в тех случаях, когда ее использование проводится совместно с назначенным лечением врача-стоматолога. В остальных же случаях неизбежно усугубление болезни и развитие серьезных осложнений.
Народные методы лечения представляют собой использование растительных компонентов и пищевых добавок. Если образовалась шишка около зуба, справиться с проблемой помогут такие средства, как:
- Содо-солевой раствор.
В теплый стакан воды добавляются 1 ч. ложка соды и немного пищевой соли. Для естественного вытягивания гнойного экссудата такой жидкостью необходимо полоскать рот не менее 5 раз в день.
- Травы ромашки, коры дуба, шалфей, мелисса.
Растения не только прекрасно справляются с противовоспалительной функцией, но и в скорые сроки заживляют раневые поверхности на деснах. Вышеперечисленные травы в сухом виде замачиваются в 250 мл горячей воды. Полученным раствором нужно пользоваться каждые 4–5 часов.
Мелко измельченная луковица имеет антисептический и противовоспалительный эффект. Кашица накладывается на пораженную область 2 раза в день: утром и вечером.
Чем вызвано заболевание
Сначала нужно выяснить источник воспаления. Зачастую сильный отек слизистой и покраснение десен сопровождаются у больных высокой температурой. Со временем, если процесс не остановить, могут появиться серьезные осложнения.
Новообразование на десне
Выделяют много факторов, влияющих на появление опухоли. Как правило, чтобы выяснить причину заболевания врачу необходимо тщательно осмотреть припухлость на десне.
Опухоль на десне над зубом или несколькими молярами или резцами в большинстве случаев свидетельствует о развитии гингивита или пародонтита. При этом отекание может захватывать небольшой участок десны, в месте поражения мягких тканей ощущается постоянная боль, десна кровоточит.
Поможет правильно назначенная терапия. Важно перед применением противовоспалительных препаратов удалить зубной налет и камень, которые являются источником распространения инфекции. После выздоровления необходимо тщательно следить за гигиеной ротовой полости, чтобы избежать повторного воспаления.
Опухоль на десне, фото которой позволяет увидеть, как выглядят симптомы такой патологии, может появиться в результате травмы. В этом случае пациентам прежде всего проводят обработку поврежденного участка слизистой и назначают ранозаживляющие средства. Тревожными признаками являются изменение цвета новообразования при надавливании, пульсирующая боль, которая отдает в ухо.
Отек на десне часто сопровождается сильной болью
Это симптомы нарыва на десне. Как правило, в таком случае не обойтись без оперативного вмешательства. Врач должен вскрыть вздувшуюся область пародонта, чтобы обеспечить отток гнойного экссудата.
Многим, к сожалению, приходилось сталкиваться с периоститом, когда воспалилась десна и опухла щека. Что делать в таком случае? В народе это называют флюсом. Эту проблему можно решить в большинстве случаев только с помощью оперативного вмешательства. Опухоль десны, причины которой часто скрываются в не до конца вылеченном кариесе, может спровоцировать воспалительный процесс надкостницы. Как правило, человек ощущает боль в причинном зубе при жевании. Иногда наблюдается расшатывание зуба. Поэтому важно не только локализовать, но и полностью устранить болезнь.
Потребуется применение антисептических растворов.
Существует много рецептов травяных отваров для лечения десен
Если опухоль незначительная и возникла после удаления зуба или неудачной установки ортодонтической конструкции, выздоровление наступит быстро при условии соблюдения всех рекомендаций лечащего врача и правильно организованной гигиене.
Читать также: Киста под зубом
Случается так, что стоматологи допускают ошибки, накладывая пломбы неподходящего размера или негерметичные протезы. Тогда можно легко травмировать мягкие ткани нависающим краем пломбировочного материала. В образовавшейся ранке развивается воспаление.
Десны могут отекать и вследствие инфицирования лунки после удаления зуба. Иногда воспаление вызвано банальным прорезыванием зубов. Так, у маленьких детей часто появление первых зубов сопровождается отеканием и покраснением слизистой, высокой температурой. Возникновение отека в определенном месте на десне должно вас настораживать. В любом случае не помешает проконсультироваться со стоматологом. А еще лучше обратиться к дантисту с узкой специализацией. Это пародонтолог или врач по деснам. Как называется
такой доктор, наверное, знают все, кто хоть раз сталкивался с болью и воспалением в полости рта над зубами.
На приеме у пародонтолога
