Ожог горла — серьезная травма, которая может носить как, химический, так и термический характер. Какие симптомы наблюдаются у пострадавшего и как лечить ожог?
Описание и причины травмы
Ожог гортани представляет собой повреждение слизистых оболочек, возникающее в результате воздействия высоких температур или агрессивных химических веществ. Данная травма достаточно широко распространена в быту, ведь ожог глотки можно получить при употреблении горячей пищи и напитков, Часто встречаются повреждения спиртом или уксусной кислотой, Люголем, йодом, едкими щелочами, концентрированным паром.
Химический ожог горла специалисты считают наиболее сложным в плане лечения и дальнейшего восстановления. Спровоцировать травму может даже посещение стоматолога, например, при попадании на слизистые гортани мышьяка или других сильнодействующих препаратов.
Подвержены данному виду поражения и маленькие дети, которые, в силу своего любопытства, вполне могут попробовать средства бытовой химии. Согласно международной классификации, ожоговые поражения горла подразделяются специалистами на 3 степени:
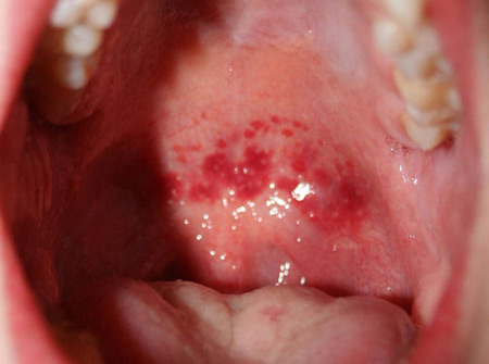
- Первая степень — характеризуется покраснением гортани и отечностью слизистых оболочек.
- Вторая степень — проявляет себя специфическими пузырями и образованием серых пленочек на красном и отекшем горле.
- Третья степень — проявляется некрозом пораженных тканей. Поражаются мышечная ткань, связки и хрящевая ткань.
Поражения гортани второй и третьей степени требуют грамотного и своевременного оказания помощи пострадавшему. В противном случае, возможны крайне тяжелые последствия в виде приступа удушья, отравления, рубцевания и даже гибели пациента!
Как проявляется?
Доктора выделяют следующие клинические симптомы, проявляющиеся у пострадавшего при ожоге горла:
- Резкая боль в горле, с тенденцией к усилению при попытках глотания;
- Интенсивное слюнотечение;
- Тошнота и приступы рвоты;
- Кашлевой синдром;
- Болевые ощущения, локализованные в области грудной клетки;
- Изменения голоса;
- Ощущение нехватки воздуха;
- Отечность шейных лимфатических узлов;
- Ощущение сильного жжения в области неба;
- Икота.
В тяжелых случаях, возможно, развитие шокового состояния. Даже незначительные повреждения могут спровоцировать нарушения дыхательной функции и стать причиной удушья, особенно, если речь идет о ребенке или пожилом человеке.
Поэтому, выявив первые же симптомы характерные для данной травмы, следует срочно оказать потерпевшему первую помощь, после чего доставить его в лечебное учреждение и передать в руки профессионалов.
Возможные последствия
При данной травме у пациентов высока вероятность развития осложнений и неблагоприятных последствий, к которым относят:
- Химическую интоксикацию, отравления;
- Коллапс;
- Рефлекторную остановку дыхания, связанную с повреждением нервных окончаний;
- Рубцевание гортани, глотки и области пищевода.
Меры догоспитальной помощи
Что делать, если обожжена гортань? Прежде всего, рекомендуется дать пострадавшему выпить холодной воды, позволяющей облегчить общее состояние, купировать боли и отечность, но главное – предупредить дальнейшее распространение ожога в глубину ткани.
Пить воду в данном случае нужно мелкими глотками, задерживая в горле и ротовой полости. Хороший эффект дает рассасывание измельченного льда или полоскание гортани прохладными антисептическими растворами. В случае получения химического ожога, необходимо нейтрализовать действие провоцирующего фактора. Для этих целей нужно осмотреть гортань пострадавшего.
При щелочном поражении будет заметен сухой струп на слизистых. В такой ситуации используется слабый раствор уксусной или лимонной кислоты. Если же в горле образуется струп, похожий на желе, то речь идет о воздействии кислот, и пациенту требуется содовый раствор для нейтрализации.
После оказания первой помощи и облегчения острой симптоматики нужно сделать пострадавшему промывание желудка, дать ему выпить стакан молока и немного подсолнечного масла, после чего обязательно обратиться к специалисту, который назначит дальнейшее лечение!
Ожог слизистой горла первой степени и иногда второй лечится в домашних условиях, в более тяжелых случаях пострадавшего госпитализируют. Успешное лечение и восстановление предполагает соблюдение следующих врачебных рекомендаций:
- Молчание. Пациент должен разговаривать как можно меньше, избегать повышения голоса.
- Полоскания ромашковым отваром и антисептическими растворами.
- Воздержание от острой, кислой, твердой соленой пиши.
- Соблюдение диеты с преобладанием в рационе жидких и пюреобразных блюд. В меню пациента должен входить бульон, сметана, сыры яйца.
При ожоговых поражениях горла лечение предполагает обязательную медикаментозную терапию. Чем лечить поражение в конкретном случае, подскажет квалифицированный специалист индивидуально. Обычно пациентам назначают анальгетические, антибактериальные препараты, для уменьшения отечности применяют глюкокортикостероиды.
Слизистые оболочки гортани в области поражения регулярно обрабатывают антисептическими и масляными средствами — такие процедуры дают очень хороший терапевтический эффект! Поверхность гортани можно также смазывать вазелином, взбитым куриным яйцом, при помощи стерильной ватной палочки.
Среди наиболее распространенных средств народной медицины для борьбы с данным недугом выделяют применение персикового, оливкового, облепихового и шиповникового масла. Данные средства можно использовать для проведения масляных ингаляций, наружной обработки обожженных участков. Домашнее лечение термических ожогов может включать в себя масляные ингаляции, рассасывание ледяных кубиков, наложение холодных шейных компрессов, полоскания шалфеевыми и ромашковыми отварами.
Грамотное восстановление требует и определенной диетотерапии. Скорейшей реабилитации больного способствуют такие продукты, как яичный белок, растительное и сливочное масла, прохладные напитки, сливки. Масло в лечебных целях употребляют в чистом виде, 4 раза на протяжении суток.
Медицинская помощь
Серьезные химические ожоги обычно лечат в условиях клиники, под наблюдением специалистов. Часто пострадавшие совершенно не могут принимать пищу, поэтому питательные растворы им вводятся при помощи капельниц. Терапевтический курс включает в себя применение сильных обезболивающих препаратов, успокоительных и антигистаминных средств.
С целью предотвращения развития инфекционных осложнений предполагается проведение курса антибиотиковой терапии. В особенно тяжелых клинических случаях, пациентам внутривенно вводят Гемодез, растворы глюкозы, позволяющие устранить признаки общей интоксикации организма и облегчить состояние пострадавшего.
При образовании рубцов и стеноза гортани пациенту требуется проведение хирургического вмешательства.
Ожог горла — травма, требующая внимательного отношения и обязательного обращения к специалистам. Лечение включает в себя прием медикаментозных препаратов, диетотерапию, полоскания, ингаляции, наружную обработку пораженных участков.
Читайте также:
Компенсация морального вреда при ожогах
Своевременная первая помощь и грамотная, комплексная терапия помогут избежать развития неблагоприятных последствий и добиться полного восстановления. В зависимости от тяжести ожога, процесс реабилитации занимает от 2 недель до полугода.
Ожог горла – травма слизистой оболочки горла, вызванная разрушающим воздействием химических или термических факторов. Основная причина патологии – банальная неосторожность. Ожоги происходят случайно в бытовых или производственных условиях, а также преднамеренно — при попытке самоубийства. Производственные ожоги возникают при вдыхании паров химических соединений во время работы без средств индивидуальной защиты, например, без респиратора. Ожогам горла в наибольшей степени подвержены дети в результате недостаточного контроля за ними, но нередко они возникают и у взрослых.
Ожог гортани — это поражение эпителия, а в тяжелых случаях глубоколежащих тканей: мышц, связок, хрящей. Последствия подобных патологий являются весьма опасными для человека.
Химическое или термическое повреждение гортани вызывает незамедлительный болевой синдром, требует немедленного обращения за медицинской помощью и проведения адекватной коррекции.
Легкие ожоги можно не лечить, поскольку эпителий слизистой оболочки верхних дыхательных путей обладает способностью быстро самовосстанавливаться. Тяжелые травмы могут привести к инвалидизации пострадавшего и даже летальному исходу.
В зависимости от вида воздействующего этиопатогенетического фактора ожоги горла классифицируют на химический и термический. Симптоматика и способы оказания доврачебной помощи при данных недугах несколько отличаются.
Этиология
Причины ожога слизистой горла подразделяются на две большие группы: химические и термические.
- Химический ожог горла — серьезная проблема, основной причиной которой в бытовых условиях является алкоголь или некоторые лекарственные препараты. Лечение тонзиллита раствором йода или спиртовыми настойками может привести к химическому ожогу слизистой горла. Йод — агрессивное химические вещество, способное вызвать серьезный ожог тканей. «Люголь», «Йокс» – лекарственные средства, приготовленные на основе йода. Применение данных препаратов при наличии сильного фарингита или тонзиллита может закончиться ожогом слизистой. К специфическим веществам, вызывающим химический ожог, относятся: лимонная кислота, уксус, нашатырь, сода, ацетон, кислоты и щелочи, этиловый спирт. Ожог гортани, сопровождающийся болью и жжением, может быть вызван забросом желудочного сока в пищевод при гастрите с повышенной кислотностью. Кислоты вызывают коагуляцию мышечных белков и образование сухого струпа, который является преградой на пути дальнейшего проникновения химического вещества. Щелочи оказывают более агрессивное влияние на слизистую гортани. Они растворяют белки. При этом развивается влажный некроз, способствующий проникновению химикатов внутрь.
- Термический ожог гортани возникает при употреблении горячей пищи и кипятка, а также при вдыхании горячего воздуха, например, при пожарах. На слизистой оболочке ротовой полости появляется много ожоговых пузырей. При этом у пострадавшего развиваются проблемы со зрением, ухудшается общее самочувствие, нарушается работа внутренних органов. Это более легкая форма патологии по сравнению с химическим поражением слизистой гортани, что связано с кратковременным воздействием горячих веществ и их быстрой нейтрализацией прохладной водой.
Симптоматика
Ожог горла проявляется интенсивной и мучительной болью при глотании, жжением и болезненными ощущениями в носоглотке, обильным слюноотделением, диспепсическими расстройствами, лихорадкой, отеком и покраснением слизистой оболочки, появлением на ней пузырей и участков побеления, увеличением и болезненностью лимфатических узлов, изменением тембра голоса, кашлем, одышкой, ускоренным сердцебиением.
Ожоговые повреждения часто распространяются с гортани на нижние отделы дыхательной системы: трахею и бронхи. При этом значительно ухудшается общее состояние больных. Травма пищевода проявляется мучительной болью в груди и эпигастрии, длительной икотой, отрыжкой и изжогой. Одновременное раздражение большого количества нервных окончаний приводит к тяжелым последствиям – рефлекторной остановке дыхания. В случаях тяжелой формы ожога возникает токсический шок.
Локальный ожог глотки проявляются внутренним дискомфортом и проходит самостоятельно за неделю. Более серьезные травмы требуют обращения к врачу и проведения комплексного лечения.
- Термический ожог гортани возникает при употреблении горячей жидкости, пищи или вдыхании накаленного воздуха. Ожог кипятком не бывает изолированным. Обычно он распространяется на слизистую рта, пищевода, трахеи. Симптоматика патологии развивается стремительно и вызывает множество неприятностей. У пострадавшего появляется резкая и мучительная боль, гиперсаливация, рефлекторная рвота и прочие характерные клинические признаки.
- Химический ожог встречаются реже термических, но протекает намного тяжелее и хуже поддается терапии. Ожоги горла разными химикатами очень опасны для человека. Клинически они проявляются теми же симптомами, что и термические. При попадании химического вещества в дыхательные пути возникает дисфагия и дисфония, нарушаются функции дыхания.
По степени тяжести и серьезности повреждения тканей выделяют три типа ожога горла:
- Ожог 1 степени отличается поражением поверхностного эпителия, на котором появляются побелевшие участки, а спустя 2-3 дня начинают отделяться. Больные ощущают жжение и незначительную боль в горле.
- Ожог 2 степени характеризуется более серьезным повреждением ткани и образованием на слизистой пузырей с серыми пленками. К концу второй недели налет отделяется, пузыри лопаются, на их месте появляются эрозии — ранки. Они заживают с образованием небольших поверхностных рубцов, не вызывающих дисфункцию органа. К болевому синдрому добавляется интоксикационный.
- Ожог 3 степени проявляется тяжелой интоксикацией организма и обильной гнойной мокротой, обусловленной отмиранием воспаленных тканей. На слизистой появляются струпы, которые со временем отторгаются с образованием крупных и глубоких кровоточащих язв. После их заживления остается рубец, нарушающий процесс глотания.
Ожоги горла второй и третьей степени – опасная травма. При отсутствии своевременно оказанной медицинской помощи пострадавший может погибнуть из-за удушья или интоксикации.
Неотложная помощь
От качества и скорости оказания неотложной помощи зависит прогноз заболевания. Для начала необходимо установить фактор поражения путем осмотра места происшествия и опроса свидетелей. Затем переходят к осмотру пораженной области. При кислотных ожогах на слизистой оболочке имеется сухой струп, а при щелочных – влажный, желеобразный.
- Первая помощь при термических ожогах заключается в употреблении прохладной воды, измельченного льда или в полоскании горла растворами анестетиков. Холодная вода остановит распространение ожога внутрь тканей. Пить ее нужно маленькими глотками, подольше задерживая воду около поврежденного места. Кусочки льда необходимо рассасывать во рту. Чтобы уменьшить боль, можно принять раствор новокаина или лидокаина.
- При химическом ожоге доврачебная помощь направлена на нейтрализацию кислот и щелочей, попавших в организм. При кислотных ожогах применяют раствор соды, а при щелочных – раствор лимонной или уксусной кислот. Больному следует промыть желудок, дать стакан молока и немного растительного масла, а затем вызывать «скорую помощь».
Читайте также:
Химический ожог третьей степени лечение
Чтобы облегчить состояние больного, необходимо обеспечить приток свежего воздуха, соблюдать режим молчания, исключить из рациона продукты, раздражающие пораженную слизистую и препятствующие регенерации.
Лечение
Лечить ожоги горла 2 и 3 степени необходимо в стационарных условиях. Ожоги первой степени лечатся на дому под врачебным наблюдением.
В стационаре больным назначают следующие группы препаратов:
- Обезболивающие средства – «Лидокаин», «Тримекаин», «Анальгин», обезболивающие пасты, наркотические анальгетики «Фентанил», «Налтрексон», «Промедол».
- Успокоительные препараты – «Реланиум», «Персен», «Валосердин», «Афобазол».
- Дезинтоксикационная терапия проводится при глубоких ожогах — внутривенное введение глюкозо-солевых растворов, раствора Рингера, «Лазикса».
- Антибиотики широкого спектра действия и сульфаниламиды используют для предотвращения вторичного инфицирования. Обычно больным назначают препараты из группы фторхинолонов, макролидов, цефалоспоринов последнего поколения.
- Глюкокортикостероиды для уменьшения отечности и снятия шока – «Преднизолон», «Гидрокортизон».
- Антисептические растворы для полосканий – «Анестезин», «Мирамистин», «Тантум верде», «Аквалор».
- Антигистаминные средства – «Димедрол», «Хлорид кальция», «Супрастин».
- Препараты, ускоряющие эпителизацию и регенерацию тканей – «Ааевит», «Ретинол», «Аекол», «Солкосерил», «Метилурацил».
Специалисты переводят больных с ожогом гортани на щадящее питание и рекомендуют употреблять только мягкую прохладную пищу в протертом виде.
Для лечения ожогов первой степени используют средства народной медицины, препараты местного действия, физиотерапевтические процедуры:
- Полоскания горла отварами лекарственных трав,
- Холодные компрессы на шею,
- Орошение пораженных тканей маслом персика или шиповника,
- Масляные ингаляции,
- Смазывание больного горла оливковым или облепиховым маслом.
В тяжелых случаях для лечения ожогов применяют хирургические методы. Операции выполняют при образовании рубцов, язв, серьезных деформаций, которые приводят к дисфункции пораженного органа.
Лечение локальных ожогов дает хороший результат: слизистая оболочка быстро регенерируется. При ожогах 2 и 3 степени возможно развитие печальных последствий, способных привести к инвалидизации и гибели пострадавшего.
Профилактика
Известно, что ожоговые заболевания гортани обычно являются следствием банальной неосторожности. Чтобы этого не допустить, необходимо уделять много внимания профилактическим мерам, быть бдительным и крайне внимательным.
- Не следует оставлять маленьких детей без присмотра. Прежде, чем давать малышам бутылочку со смесью, ее необходимо попробовать. Не оставлять в зоне досягаемости горячие напитки, бытовую химию и прочие химикаты.
- Следует хранить опасные вещества в специально отведенных местах, недоступных для детей.
- Лицам, увлекающимся нетрадиционной медициной, применять рецепты можно только после консультации со специалистом.
- Необходимо соблюдать технику безопасности и владеть правилами оказания первой медицинской помощи.
Мнения, советы и обсуждение:
В бытовых условиях ожог горла возникает по неосторожности или преднамеренной попытке свести счёты с жизнью. Это случается также на производстве во время вдыхания ядовитых паров при несоблюдении техники безопасности.
Тяжесть ожога определяется глубиной поражения стенок глотки. Последствия травмы могут быть серьёзными. Лечение различное в зависимости от причины. Выясним, что делать, если обжог горло.
Виды ожогов
Слизистый эпителий – самая чувствительная ткань в организме. Именно поэтому он уязвим при воздействии факторов, которые могут быть безразличны для кожных покровов. Ожог гортани – это повреждение слизистых оболочек вредными веществами газообразного или жидкого состояния.
В зависимости от повреждающего фактора различаются термические и химические ожоги. Поражению подвергается не только горло, но и гортань, трахея и бронхи. Травма сочетается с поражением губ и пищевода.
Тяжесть течения зависит от глубины повреждения и распространённости ожога. Воздействие вредных веществ может лишить человека способности говорить и глотать.
Термический ожог
В быту травма горла может случиться при неосторожном глотке горячей пищи или чая. Это нередко случается с детьми, когда родители недосмотрели их.
Важно! Травма горла может произойти при лечении травяными ингаляциями. Ожоги бывают при вдыхании горячего воздуха пострадавшими во время пожара.
В зависимости от продолжительности воздействия температуры повреждаются дыхательные пути или пищевод в различной степени тяжести. В лёгких случаях отмечается покраснение стенок или пузыри в горле. Термическое поражение протекает легче ввиду кратковременности воздействия температуры.
Химический ожог горла
В бытовых условиях эта проблема возникает при употреблении крепких алкогольных напитков. Ожог спиртом горла и пищевода случается при внутреннем использовании горячительного напитка. Спирт 70–96° относится к химически активным веществам.
После его употребления на слизистых пищевода образуется белый налёт из омертвевших тканей, внешне напоминающий яичный белок. Специального лечения для восстановления слизистой не требуется. На протяжении недели ткани спонтанно регенерируют.
Ожоги глотки и пищевода случаются при воздействии повреждающих веществ – уксусной или неорганической кислоты, каустической соды, аккумуляторной жидкости, различных клеёв. Такие повреждения сочетаются с ожогом желудка.
Внимание! Ядовитые жидкости и их пары даже в мизерных количествах разъедают слизистые. Отравление проявляется спазмом и стенозом пищевода. При всасывании вещества развивается шок или коллапс.
Токсические проявления особенно выражено при воздействии уксусной кислоты. Происходит растворение кровяных клеток, поражение печени и почек.
Химический ожог гортани может случиться при неправильном использовании препаратов для смазывания или полоскания горла. Лечение воспалённых миндалин спиртовыми настойками или йодом приводит к ожогу эпителия горла.
Лекарственные средства, созданные на их основе, нередко повреждают стенки глотки и гланд.
Читайте также:
Чем промывают ожоги у детей
К таким препаратам относится раствор Люголя или Йокса. Сам по себе йод – агрессивное вещество. Поражённый воспалительным процессом эпителий при фарингите или ангине становятся ещё более чувствительными. После смазывания возникает ожог слизистых оболочек.
Классификация
По степени тяжести различают 4 степени ожога:
- При I ст. повреждён поверхностный эпителий глотки, что проявляется побелевшими пятнами, которые отделяются через несколько дней.
- Для II ст. характерно появление пузырей. Постепенно они лопаются, а на их месте остаются ранки. После зарастания образуются рубцы. В этот период усиливаются боли в горле.
- III степень отличается тяжёлым течением. Происходит интоксикация организма не только отравляющими веществами. Воспалённые ткани выделяют гнойную мокроту. На повреждённых участках отмирают клетки, образуется струп с формированием рубцов. Глотание пищи при этом нарушено. Боли на этой стадии настолько выражены, что с трудом купируются болеутоляющими средствами.
- Терминальная стадия редко встречается. Тяжёлые повреждения распространены на пищевод и гортань. Интоксикация приводит к шоку с летальным исходом.
Степень распознаётся при осмотре горла и клиническим признакам. Оценивается гемодинамика, состояние внутренних органов. Проводится исследование кислотно-щелочного равновесия организма. Делают анализы мочи и крови для определения состояния почек и печени.
Симптоматика
Распознать ожог горла можно по следующим симптомам:
- резкая боль, усиливающаяся при глотании;
- приступы тошноты и рвоты;
- икота;
- жжение в горле;
- повышенное слюноотделение;
- гипертермия.
- Распространение ожога на трахею и гортань сопровождается кашлем, одышкой. Голос пропадает или становится осипшим. На фоне покрасневших отёчных стенок появляются пузыри. В процесс вовлекаются лимфоузлы.
В тяжёлых случаях пациенты ощущают сильное жжение в области желудка и за грудиной. Отекают губы, ухудшается сердечная деятельность, пульс становится слабым, снижается кровяное давление. Затем повышается температура тела.
В этот период случается пищеводное кровотечение. Нередко развивается отёк гортани с удушьем. Пациент может умереть за 1 неделю от ожогового шока, коллапса, остановки сердца.
Доврачебная помощь
Для благоприятного исхода при ожогах и отравлениях ядовитыми жидкостями важно правильно оказать первую помощь дома. Что нужно делать при ожоге горла:
Важно! При химических ожогах необходимо сразу вызвать скорую помощь.
- До прибытия врачей промывают ротовую полость и горло растворами, нейтрализующими повреждающий агент. Если известно, что причиной является кислота, полоскание проводят содовым раствором. При воздействии едкой щёлочью применяют слабый раствор лимонной или уксусной кислоты.
- Следом вызывают рвоту с целью опорожнения желудка и делают промывание водой. Затем дают немного молока, яичные белки, 1 ст. л. оливкового или другого растительного масла.
- В лёгких случаях при термическом ожоге достаточно промыть горло несколько раз обычной водой. Воду следует пить мелкими глотками, задерживая во рту. Разрешается подержать во рту кусочки льда.
При ожоге горла спиртом также не требуется специального лечения. Многократное полоскание ротовой полости проводят дома водой. Восстановление происходит в течение недели. При химической травме больного необходимо госпитализировать в отделении токсикологии.
Лечение в больнице
При ожоге пищевода и гортани в условиях стационара, прежде всего, делают промывание желудка. Затем проводят лечебные мероприятия:
- Для профилактики болевого шока делают инъекции Анальгина, Лидокаина или наркотических средств Фентанила, Промедола.
- Спазмолитические препараты – Раствор Атропина, Спазмалгон.
- Для устранения отёка вводят Преднизолон, Гидрокортизон.
- Проводят дезинтоксикацию организма раствором Рингера, Глюкозы, Хлористого натрия 0,9%.
- Вводят противошоковые препараты.
- При повышенной температуре, а также для профилактики нагноения парентерально применяют антибиотики группы макролидов, цефалоспоринов, фторхинолонов.
- Поражённые участки ротовой полости смазывают противовоспалительными гелями и мазями. Применяют ранозаживляющие препараты (Солкосерил, Аевит). Эти средства ускоряют заживления ран.
- Если у пациента развились психологические расстройства, применяют успокоительные лекарства – Реланиум, Седуксен, Афабазол.
- Для полоскания горла используют антисептические растворы Мирамистин, Танум Верде, Анестезин.
При ожоге глотки и пищевода в течение 2 дней пациенты находятся на парентеральном питании. Каждые полчаса им дают глоток микстуры, состоящей из смеси анестезина, сахара, биомицина, подсолнечного масла.
Для обезболивания применяют внутрь по 1 ч. л. состав из новокаина, ментола, анестезина, оливкового масла, витамина C и спирта. При тяжёлых формах прибегают к хирургическому лечению рубцов, язвенных поражений и деформаций.
Лечение в домашних условиях
Обожжённое горло в лёгких случаях можно восстановить народными способами. Для полоскания используются настой ромашки, которая обладает не только противовоспалительным, но и анестезирующим эффектом.
Ускоряет выздоровление отвар коры дуба, но средство может снижать эффективность некоторых медикаментов. Применять отвар можно после консультации с доктором.
Для стимуляции восстановления эпителия глотки применяют смазывание облепиховым, персиковым или оливковым маслом. Ватным диском, пропитанным одним из этих средств, смазывают стенки глотки несколько раз в день.
Масла защищают раневую поверхность от внедрения бактерий, ускоряют регенерацию тканей. Защитным свойством для ран обладает яичный белок. Он подходит для смазывания стенок горла.
Что нельзя делать при ожоге горла
Неадекватное лечение затягивает лечение или усугубляет состояние стенок. Приводит к формированию стеноза с последующей инвалидностью. Пациенту жизненно необходимо соблюдать назначения врача.
Внимание! Нельзя применять народные методы лечения детям. Они могут вызвать аллергический отёк гортани с удушьем.
В период лечения запрещается курить. Обязательное условие скорейшего выздоровления – молчание на протяжении нескольких дней. Голосовой покой способствует быстрому восстановлению тканей.
В подостром периоде больного переводят на щадящую диету. Рацион состоит из тёплых протёртых блюд. Рекомендуются слизистые супы, кисели. Исключается острая солёная и кислая, а также горькая пища, раздражающая горло.
Ожоги часто происходят дома по неосторожности. Прежде чем кормить детей, следует пробовать блюдо. Не оставляйте на столе горячий чай близко от малышей. При работе с ядовитыми веществами используйте респиратор. Чистящие средства храните в недоступном для детей месте.














