Пневмония — тяжелое заболевание респираторной системы, часто приводящее к гибели без оказания первой помощи и своевременного приема лекарств. Она бывает бактериальной, грибковой или вирусной природы, поэтому важно провести диагностику, чтобы узнать точную причину кашля, гипертермии.
Общие сведения
Пневмония — воспаление альвеол легких с формированием экссудата. Ухудшает переход кислорода в системный кровоток. Внутренние органы испытывают гипоксию, постепенно формируется полиорганная недостаточность при отсутствии лекарственной терапии.
Несмотря на большое количество лекарств против заболевания, летальный исход составляет 9-10 % из всех больных.
Предрасположенность наблюдается у пациентов с сердечно-сосудистыми патологиями, злокачественными новообразованиями, людей с иммунодефицитом. Пневмония тяжелее развивается у курильщиков, их легкие подвергнуты негативному действию. Выделяют основные причины болезни, передающиеся воздушно-капельным, контактно-бытовым путем:
- размножение бактерий грамотрицательной и грамположительной природы (пневмококки, стрептококки, гемофильная палочка);
- микоплазмоз;
- вирусные агенты (грипп, парагрипп, герпес, коронавирус);
- грибковые инфекции.
Пневмонии подвержены взрослые и дети в равной степени. Чаще может развиваться у мужчин, они более подвержены привычке курения. Инфекционный возбудитель проникает через носоглотку. Реже через конъюнктиву глаз. Переходит через слизистую оболочку носоглотки, трахеи, бронхов, альвеол легких. В последних происходит воспалительный процесс, поэтому формируется экссудат. Нарушается газообмен, что провоцирует кашель, затрудненное дыхание, одышку.
Диагностика и классификация
Проведение терапии невозможно, если не была выяснена точная причина ухудшения самочувствия. Проводят комплексное лабораторно-инструментальное обследование. Ребенку или взрослому делают следующие тесты:
- общий осмотр — пациент бледный, вялый, тяжело дышит, есть одышка;
- прослушивание и перкуссия легких — хрипы и тяжелое дыхание, сдавленность в груди;
- ОАК, ОАМ — повышение лейкоцитов, СОЭ;
- бактериальный посев мокроты с выявлением антибиотика;
- флюорография — выявление затемненных очагов в паренхиме легких;
- эхокардиография, УЗИ плевральной полости.
С помощью полученных данных распознают пневмонию. Важно определить ее форму, чтобы провести правильное лечение. Выделяют следующие основные виды патологии:
- внебольничная — человек мог заразиться от контакта с окружающими людьми;
- внутрибольничная — контакты с больными, находящимися в ЛПУ;
- иммунодефицитная — на фоне ВИЧ, СПИД, других патологий, приводящих к ослаблению иммунитета;
- атипичная — сопровождается нехарактерными признаками, протекает тяжело.
Болезнь может развиваться первично. Но чаще она формируется вторично, на фоне осложнения других заболеваний. Например, из-за не леченного бронхита. Пневмония появляется после травмы, проведенной операции, возникшего инфаркта или тромбоэмболии. Она бывает вялотекущей или острой. По степени распространения делится на одностороннюю и двустороннюю.
Принципы лечения
Основной метод, благодаря которому пациент выздоравливает — употребление лекарственных средств. Их выбор зависит от диагноза, поставленного пациенту. Помимо препаратов, выделяют и другие направления терапии.
- Употребление антибиотиков в таблетках, уколах. Применяют группы пенициллинов, макролидов, цефалоспоринов, фторхинолонов, аминогликозидов. Рекомендуется предварительно провести бактериологический посев, чтобы выявить возбудителя, вызвавшего болезнь. По результатам будет указано, какой препарат на него действует.
- Симптоматические средства. Используют обезболивающие, жаропонижающие, муколитические, антигистаминные средства. Реже назначают иммуностимуляторы, если защитная система организма недостаточно развита.
- Физиопроцедуры. Показаны для быстрого выздоровления, нормализации оксигенации воздухом организма. Используют массаж, электрофорез, ЛФК, УВЧ.
- Витаминотерапия. Назначают при употреблении пациентом большого количества антибиотиков в высоких дозах. Стимулирует системный метаболизм, регенерацию поврежденных тканей.
Чтобы снизить нагрузку на пищеварительный тракт, антибиотики употребляют в форме инъекций (капельно). Действующее вещество сразу попадает в системный кровоток. Муколитики, отхаркивающие средства применяют в форме ингаляций, активные компоненты сразу распространяются в дыхательную систему.
Выбор антибиотика
Перед проведением антибиотикотерапии делают бактериологический посев. Но результаты исследования получают в течение 5-7 дней, это долго. Пульмонологи назначают антибиотики широкого спектра действия, чтобы эффект возник быстро. Рекомендуют препараты из таблицы.
| Группа антибиотиков | Препараты | Влияние на организм |
| Пенициллины | Амоксиклав, Ампициллин | Большинство препаратов имеют в составе пенициллин и клавулановую кислоту. Это обеспечивает защиту от влияния бета-лактамаз бактерий |
| Макролиды | Эритромицин, Азитромицин | Обладают бактериостатическим, бактерицидным действием |
| Цефалоспорины | Цефазолин, Цефамандол, Цефотаксим | Образуется бактерицидное действие в отношении грамположительных и грамотрицательных бактерий |
| Фторхинолоны | Флоксацин, Норбактин | Действие связано с блокировкой синтеза фермента, который продуцирует ДНК в патогенной клетке |
| Аминогликозиды | Гентамицин, Тобрамицин | Препараты обладают бактерицидным действием. Они подавляют репликацию рибосом, поэтому угнетает синтез белка в возбудителе |
| Карбапенемы | Имипенем, меропенем | Подавление синтеза клеточной стенки бактерий. Эффективность на грамположительные и грамотрицательные бактерии, аэробы, анаэробы |
При употреблении антибиотиков нужно не забывать про препараты, нормализующие микрофлору ЖКТ. Если эффекта нет, назначают повторную диагностику. Может потребоваться более сильное лекарство.
Помогает ли Амоксиклав?
Амоксиклав — одно из эффективных средств, помогающих при пневмонии. Если состояние пациента легкое или среднее, используют таблетки. При тяжелых патологиях назначают уколы, капельницы. В состав входит амоксициллин и клавулановая кислота. Поэтому обеспечиваются следующие действия:
- антибактериальный эффект против аэробных грамположительных и грамотрицательных микробов;
- устойчивость средства к влиянию бета-лактамаз бактерий.
Амоксиклав применяют при инфекциях верхних и нижних дыхательных путей, ЛОР-органов. Если болезнь начнется с трахеита или бронхита, пациент может вовремя остановить процесс до появления пневмонии. Но также можно устранить воспаление легких.
Побочных эффектов немного, в основном они проявляются при превышении дозировки и курса лечения.
Из негативных влияний выделяют расстройство пищеварения, гепатит, замедление свертываемости крови, анемию, местные и системные аллергические реакции. Если применять препарат неправильно, возникнет кандидоз, суперинфекция. Лекарство противопоказано к применению при инфекционном мононуклеозе, желтухе, гепатите. Его с осторожностью назначают при печеночной недостаточности, беременности и лактации.
Имипенем от пневмонии
Имипенем — средство на основе одноименного действующего вещества и циластатина натрия. За их счет образуется антибактериальный эффект и устойчивость к действию бета-лактамаз. Поэтому список бактерий, которые уничтожает средство, значительно увеличивается. Лекарство показано к применению при инфекции верхних и нижних отделов дыхательных путей, поэтому подойдет для лечения пневмонии.
Побочных эффектов много. Могут возникнуть неврологические расстройства, нарушение пищеварения, гепатит, подавление ростков крови, местные и системные аллергические реакции, тромбофлебит. Лекарство противопоказано при беременности и лактации, так как проникает через плаценту и в молоко матери. Возникает токсичность для новорожденного, нарушение формирования внутренних органов.
Средство можно использовать при нарушении функции почек у взрослых людей. Однако у ребенка лекарство вызовет усиление заболевания, поэтому для этой категории пациентов оно противопоказано. Лекарство может вызвать передозировку, при которой проводится симптоматическое лечение, гемодиализ.
Когда применять фунгициды?
Грибковая пневмония образуется редко. В основном у лиц с иммунодефицитом. В основе лежат плесневые грибы, пневмоцисты, кандида, аспергиллы. Для лечения применяют следующие препараты.
- Интраконазол. Подавляет активность ферментов в грибках, поэтому они разрушаются. Показан к применению при грибковой инфекции, в том числе пневмонии. Из побочных эффектов определяют диспепсические расстройства, гепатит и желтуху, аллергические реакции, невралгию. Они появляются редко.
- Амфотерицин b. Оказывает фунгицидное, фунгистатическое действие. Проникает через физиологические барьеры, поэтому быстро уничтожает возбудителей. Но побочные эффекты появляются часто. Выявляют нарушения пищеварения, невралгию, расстройства слуха и зрения, угнетение системы кроветворения, нефрит, системную аллергию.
- Флуконазол. Подавляет синтез стирола в грибковой клетке, они постепенно погибают. Применяется внутривенно, поэтому эффект наблюдается быстро. Побочные эффекты немногочисленны. Возникает невралгия, расстройство пищеварения, изменение ритма сердца, панцитопения, аллергия.
Читайте также:
При подозрении на пневмонию делать флюорографию или рентген
После курса лечения фунгицидами назначают лабораторные анализы крови. Важно сдать биохимический тест, выяснить состояние печени. Лекарство действует негативно на ее функциональность и состояние. Если печеночные ферменты резко повышаются, дозу снижают.
Препараты для ингаляции
В форме ингаляции применяют отхаркивающие, муколитические средства. При пневмонии в респираторном тракте накапливается экссудат. Он должен выводиться, чтобы не создавать закупорку. Поэтому используют следующие лекарства, предназначенные для ингаляции.
- АЦЦ. Основан на ацетилцистеине. Обладает муколитическим эффектом. Разжижает и выводит мокроту. Показан при респираторных патологиях, сопровождающихся обильным накоплением секрета. Из побочных действий выделяет аллергию, одышку, бронхоспазм, скачки артериального давления, диспепсию. Они появляются редко.
- Лазолван. В основе лежит амброксола гидрохлорид. Он усиливает продукцию сурфактанта в легких, стимулирует активность цилиарного отдела. Увеличивается ток слизи, поэтому происходит активное выведение и откашливание мокроты. Из побочных эффектов выявляют только диспепсию, аллергию.
- Флуимуцил. Препарат для разжижения мокроты. Образует муколитический эффект, мокрота быстро выводится наружу. Лекарство показано к применению при бронхите, пневмонии, других респираторных патологиях. В отличие от других средств, у Флуимуцила наблюдается крайне мало побочных эффектов. Выделяют пищеварительные расстройства и аллергию.
При использовании муколитических средств важно соблюдать дозировку. Если ее превысить, жидкая мокрота будет стекать вниз. Это усилит пневмонию, кашель. Самочувствие ухудшится.
Симптоматические лекарства
Пневмония сопровождается комплексом симптомов, которые ухудшают самочувствие пациента. Поэтому важно применять симптоматические средства, чтобы состояние человека нормализовалось. Лучшие из них представлены в таблице.
| Лекарственная группа | Препараты | Эффект |
| Жаропонижающие | Парацетамол, Ибупрофен | Уменьшение температуры тела, обезболивание, подавление боли |
| Обезболивающие | Пенталгин, Кеторол | Устраняет болезненность, улучшает общее самочувствие |
| Иммуностимуляторы | Интерферон | Пассивная иммуностимулирующая терапия |
| Антигистаминные | Супрастин, Кларитин | Устранение отека, воспаление, формирование экссудата |
Препараты употребляют до тех пор, пока врач не выявит улучшение самочувствия. Так как пневмония лечится только в условиях стационара (домашняя терапия приведет к осложнениям), все употребляемые пациентом препараты происходят под его контролем. Поэтому снижается риск побочных эффектов, особенно при неправильном приеме или некорректно подобранной дозировке.
Эффективность лечения пневмонии
Эффект от терапии пневмонии зависит от своевременного поставленного диагноза. Если лечение началось с формирования первых симптомов, пациент выздоравливает практически всегда. Значительно снижается риск летального исхода.
При отсутствии контроля патологии возможность смертельного исхода возрастает, нередко встречаются осложнения для сердечно-сосудистой системы.
Важно выявить точный возбудитель, который провоцирует воспаление легочной ткани. Им может быть бактерия, грибок или вирус. В зависимости от полученных данных назначают патогенетическое лечение. Это основа терапии. Только благодаря противомикробным, фунгицидным, противовирусным лекарствам можно полностью устранить болезнь. Симптоматические средства, народные методы назначают для вспомогательного лечения, чтобы улучшить самочувствие человека.
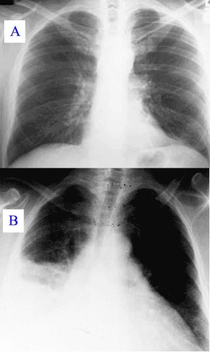
Перед лечением, в процессе его проведения и после завершения важно проводить лабораторно-инструментальные обследования. Так врач понимает, эффективны ли назначаемые средства. Например, на рентгенографическом снимке выявляют затемнение легочной ткани при наличии пневмонии. Если она завершилась, паренхима легких приобретет нормальную структуру. В результате общеклинического анализа крови постепенно снизится показатель лейкоцитов и СОЭ.
Пневмония представляет собой воспалительное заболевание легочной ткани, при котором происходит образование очага воспаление, появляется мокрота и в очаге размножаются патогенные микроорганизмы.
Болезнь может протекать в скрытой форме или же проявляться сразу в виде высокой температуры, сильного кашля и других симптомов. Лечение патологии у взрослых предполагает несколько схем, а также использование различных препаратов.
Виды заболевания
Специалисты классифицируют заболевание в зависимости от тяжести его течения, механизма развития, типа возбудителя. Помимо этого, существует классификация, разделяющая болезнь в зависимости от площади поражения легочной ткани.
В зависимости от степени поражения тканей легких различают 3 разновидности патологии:
| Разновидность | Особенности |
| Односторонняя | Этот вид считается наиболее легкой формой воспаления. Поражается только небольшой участок правого или левого легкого. Обычно очаг имеет небольшой размер и не провоцирует тяжелые симптомы. |
| Двусторонняя | При этом в процесс вовлекается правое и левое легкое. В них образуются очаги разного размера, которые осложняют течение патологии. Обычно болезнь протекает тяжело и может провоцировать осложнения. |
| Тотальная | Наиболее тяжелая форма пневмонии, когда в процесс вовлекается не только легочная ткань, но и прикорневые зоны легких. При этом состояние больного критичное, в большинстве случаев при несвоевременном лечении повышается риск развития осложнений. |
В зависимости от тяжести течения патологического процесса выделяют пневмонию легкой, средней и тяжелой степени. Последняя считается наиболее опасной, вторая встречается довольно часто, а первая нередко протекает в скрытой форме, что также может провоцировать неприятные последствия.
Если учесть характер течения болезни и ее начало, можно выделить острую и хроническую форму.
Острая возникает первично и сразу провоцирует выраженные симптомы.
Хроническая протекает с менее выраженными признаками, от 2 до 4 раз в год у пациента наблюдается рецидив. В некоторых случаях рецидивы протекают тяжело.
В зависимости от механизма развития патологии также выделяют несколько форм воспаления.
Первичные пневмонии становятся самостоятельным заболеванием, вторичные – следствие другого воспалительного процесса.
Посттравматические и постинфарктные – результат застоя мокроты в легких при длительном пребывании в горизонтальном положении и нарушении оттока крови в малом кругу кровообращения.
Помимо этого, встречаются постоперационные виды воспаления легочной ткани, механизм развития которых аналогичен посттравматическим. В зависимости от вида возбудителя выделяют вирусные и бактериальные пневмонии, а также грибковые, протозойные и смешанные. Второй тип считается наиболее распространенным и хорошо поддается лечению при своевременном его начале.
Эпидемиологи также делят заболевание на несколько разновидностей в зависимости от предрасполагающего фактора:
- О внегоспитальном воспалении говорят в случае, когда пациенту сразу после обращения к врачу диагностировали пневмонию.
- Внутригоспитальная форма развивается при нахождении пациента в стационаре. Обычно он проходит лечение какого-либо другого органа, а пневмония является осложнением. В большинстве случаев внутригоспитальная форма лечится очень тяжело и длительно, поскольку провоцируется микроорганизмами, устойчивыми к антибиотикам.
- Иммунодефицитная разновидность возникает на фоне ослабления иммунитета.
- Атипичная пневмония представляет опасность, поскольку протекает скрыто или сопровождается нетипичными симптомами.
Читайте также:
Антибиотик для ингаляций при пневмонии
В зависимости от вида заболевания отличается клиническая картина патологии. Помимо этого, выделяют обширную пневмонию, очаговую и крупозную. Каждый вид сопровождается разными проявлениями.
Стадии и степени
Пневмония (лечение у взрослых предполагает использование средств из разных групп) независимо от формы и разновидности протекает в несколько стадий. Отличием считается симптоматика, которая при различных типах болезни может присутствовать или отсутствовать, проявляться с разной степенью интенсивности.
Начальная или легкая стадия сопровождается отсутствием симптомов или невыраженным их проявлением. Пациент говорит о слабости и незначительном повышении температуры тела, но считает, что это проявления простуды.
На средней или прогрессирующей стадии появляются более выраженные признаки. Температура тела повышается значительно, появляется кашель и другие выраженные признаки пневмонии. Тяжелая или запущенная стадия характеризуется острыми проявлениями, лихорадкой, болью во всем теле. Появляются и другие симптомы, характерные для воспаления.
Важно помнить, что при тяжелой форме патологического процесса одна стадия переходит в другую гораздо быстрее, чем при скрытом течении.
Именно поэтому врачи почти не могут различить этот переход при остром начале заболевания. Однако при каждой форме эти стадии присутствуют в клинической картине.
Симптомы
Заболевание характеризуется множеством выраженных симптомов. Внешне болезнь проявляется только на прогрессирующей и запущенной стадии. Кожа пациента становится бледной и прохладной на ощупь, черты лица немного заостряются. При длительном течении патологии больной теряет вес, кожа становится влажной или же сухой.
Другие проявления пневмонии:
- Слабость и боль в мышцах, суставах.
- Сонливость и снижение работоспособности.
- Нарушение сна, проявляющееся в беспокойстве, ночных кошмарах, потливости в ночное время.
- Лихорадка или незначительное повышение температуры тела. Второе наблюдается при хроническом течении воспалительного процесса.
- Одышка при физических нагрузках. В запущенных случаях симптом проявляется даже в покое, особенно при нервном напряжении.
- Кашель разной интенсивности, что зависит от степени поражения легочной ткани. При этом выделяется небольшое количество мокроты на начальной стадии. По мере прогрессирования состояния количество мокроты увеличивается, а интенсивность кашля усиливается. Мокрота имеет желтоватый или зеленоватый оттенок. Однако при крупозной пневмонии характерным симптомом считается мокрота «ржавого» цвета.
- Ухудшение аппетита, вплоть до полного его отсутствия.
- Сильная жажда и сухость слизистых оболочек полости рта.
- Боль в груди, усиливающаяся при глубоком вдохе и выдохе.
- Тахикардия, аритмия. Подобные симптомы появляются у пациентов зрелого возраста, в анамнезе которых сердечно-сосудистые патологии.
- Головная боль и головокружение, усиливающееся при физических нагрузках или волнении.
У некоторых пациентов появляются признаки респираторного заболевания в виде насморка, боли в горле, слезотечения.
Причины появления
Пневмония (лечение у взрослых предполагает предварительное обследование) может быть спровоцирована различными факторами.
К общим причинам относят следующие:
- Частые респираторные и вирусные патологии, которые осложняются пневмонией.
- Отрицательное воздействие факторов внешней среды на ткани легких.
- Ослабление защитных сил организма.
- Регулярное переохлаждение.
- Отсутствие своевременного лечения простудных болезней.
- Аллергическая реакция на пыльцу, шерсть животных и другие вещества.
Первичная пневмония вызывается проникновением бактерий в легкие человека, вторичная – в результате хронического бронхита и других патологий дыхательной системы. Иммунодефицитная разновидность становится результатом ослабления иммунитета в результате проникновения в организм вируса СПИДа.
Streptococcus pneumoniae
Госпитальная пневмония развивается во время пребывания пациента в стационаре. Бактериальная форма – следствие проникновения в легкие микроорганизмов. В 30% всех случаев воспаление провоцируют стрептококки. Помимо этого, болезнь может быть спровоцирована стафилококками, гонококками, хламидиями. В 40% случаев возбудитель заболевания не удается установить.
Посттравматическая и постинфарктная пневмония – результат застоя мокроты в легких и крови в малом кругу кровообращения. Это происходит, когда больной длительное время находится в горизонтальном положении и не способен полноценно откашливать мокроту.
Атипичная форма заболевания считается наиболее сложной в диагностировании, поскольку провоцируется различными бактериями, а также другими факторами.
Диагностика
Для диагностирования заболевания пациенту необходимо пройти обследование, которое включает несколько эффективных методов.
Клиническое и биохимическое исследование крови в государственных клиниках проводят бесплатно, в частной цена составляет примерно 300-400 руб. Метод относится к стандартным, помогает оценить общее состояние больного, а также обнаружить признаки воспаления на ранней стадии. Например, эозинофильная пневмония выявляется путем развернутого клинического анализа крови.
Общий осмотр и опрос больного позволяет выявить предположительную причину патологии. Специалист не только выслушивает жалобы пациента, но и проводит аускультацию, то есть прослушивает легкие для выявления хрипов или других нарушений.
Обычно дыхание человека затруднено, возможно отсутствие хрипов или же выраженное их проявление, что зависит от формы и стадии болезни. Метод эффективен, обычно не требует оплаты и проводится в любом учреждении.
Анализ мокроты – один из наиболее эффективных методов, который проводится в государственных клиниках и не требует оплаты.
Пациент собирает мокроту в стерильный контейнер, правила сбора объясняет врач. После этого материал направляется в лабораторию для диагностики. Результат помогает выявить возбудитель заболевания.
Рентгенография легких – наиболее эффективный метод диагностики, стоимость которого не превышает 300 руб.
Проводится в любом учреждении и помогает выявить локализацию очага поражения. Благодаря снимкам специалист может оценить степень поражения тканей.
Благодаря комплексной диагностике врач выявляет стадию и форму болезни, что помогает назначить наиболее адекватную терапию.
Когда необходимо обратиться к врачу
Пневмония является довольно опасным заболеванием. При появлении первых ее признаков требуется обратиться к специалисту. Лечение заболевания у взрослых проводит пульмонолог. Однако в небольших городах узкий специалист не всегда имеется, поэтому терапией занимается терапевт.
Даже если обследование показывает начальную стадию болезни не стоит откладывать визит к врачу.
Профилактика
Для предупреждения патологии рекомендовано укреплять иммунную систему с помощью правильного питания и соблюдения принципов здорового образа жизни. Необходимо заниматься спортом, следить за массой тела и отказаться от вредных привычек, особенно сигарет.
Помимо этого, следует своевременно лечить респираторные заболевания, а также бронхит. На это стоит обратить особое внимание пациентам, которые страдают хронической формой бронхита. Дополнительно рекомендуется при появлении сильного кашля, сохраняющегося более 7 дней, посетить врача, который проведет аускультацию легких.
Читайте также:
Легочные осложнения пневмоний у детей диагностика
Пациентам, которые вынуждены длительно находиться в горизонтальном положении после операции или травмы, необходим особый уход. Его следует регулярно и осторожно приподнимать, позволяя полноценно кашлять, чтобы мокрота отходила. При соблюдении рекомендаций вероятность развития воспаления значительно снижается.
Методы лечения
Специалисты используют для терапии пневмонии несколько методов. Лекарства, народные средства и другие процедуры помогают быстро устранить симптомы болезни.
Схема лечения
Независимо от формы заболевания специалисты используют 3 схемы антибиотикотерапии. Выбор зависит от возраста пациента. Отличается только дозировка препаратов и длительность их использования.
Наиболее распространенные схемы:
- Пациентам от 20 до 40 лет назначают Амоксиклав в сочетании с Доксициклином.
- Больным старше 40 лет – Кларитромицин и Цефтриаксон, а также Сумамед.
- Пациенты старше 60 лет получают только Цефтриаксон, поскольку другие антибиотики являются сильнодействующими.
Помимо этого, каждая схема включает жаропонижающие медикаменты, муколитические, противовоспалительные. Дополнительно в лечение включают пробиотики, а также медикаменты для очищения крови и восстановления водного баланса в организме.
Лекарственные препараты
Пневмония (лечение у взрослых включает сильнодействующие антибиотики) лечится с помощью применения нескольких средств из разных групп. При тяжелом течении используют средства для парентерального введения, при легком и среднем –пероральные средства.
Наиболее часто назначают следующие лекарства:
- Азитрал – антибиотик из группы макролидов, отличающийся высокой эффективностью и относительной безопасностью. При легком течении пациенту назначают по 1 таблетке (500 мг) 2 раза в сутки на протяжении 5-7 дней. При тяжелом – внутривенно вводится физиологический раствор в количестве 200 мл, в который добавляют 1 флакон (1 г) лекарства. Процедуру проводят 2 раза в сутки на протяжении 7-10 дней. Препарат быстро уничтожает бактерии разного вида и снимает воспаление. Цена лекарства – от 100 до 200 руб. в зависимости от формы и дозировки.
- Цефтриаксон – эффективный антибиотик, позволяющий быстро уничтожить бактерии в легочной ткани. Используется в форме порошка, из которого готовят раствор для внутримышечного и внутривенного введения. В сутки больной получает от 2 до 4 г средства, длительность курса – 10 дней. Стоимость 1 флакона – от 20 руб.
- Лазолван – муколитическое средство, которое стимулирует выработку и отхождение мокроты. Назначается в форме таблеток и раствора для внутривенного введения. Таблетки стоит принимать по 2 штуки 3 раза в сутки на протяжении 10 дней. Раствор вводят 1 раз в сутки внутривенно от 2 до 4 мл. Длительность курса – 10 дней. Средство считается очень эффективным. Цена лекарства – от 60 до 350 руб.
- Нимесил – порошок для приготовления раствора для приема внутрь. На 1 прием берется 1 пакетик, который растворяют в 100 мл теплой воды. Принимать разрешается от 2 до 4 раз в сутки при сильном жаре, боли и воспалении. Курс длится 5 дней. Средство очень эффективное, помогает быстро снизить температуру тела, устранить боль и улучшить общее состояние. Цена средства – от 40 руб. за 1 пакетик.
- Реосорбилакт – раствор для очищения крови от токсинов, который в избытке присутствуют в системном кровотоке больного. Отличается эффективностью и мягким воздействием на организм. В сутки пациенту вводят 200-400 мл раствора внутривенно с помощью капельницы. Курс длится от 5 до 10 дней. Цена лекарства – от 120 руб. за флакон.
- Раствор Рингера – средство на основе солей, которое восполняет дефицит жидкости и помогает предотвратить обезвоживание. Вводится пациенту внутривенно по 200-400 мл в сутки на протяжении 5 дней. Препарат эффективен и безопасен, уменьшает проявления интоксикации в виде головной боли, тошноты и других симптомов. Цена лекарства – от 80 руб. за флакон.
- Алоэ – препарат в форме раствора для внутримышечного введения, отличается высокой эффективностью, стимулирует рассасывание очагов поражения в легочной ткани. Пациенту вводят от 1 до 2 мл раствора внутримышечно ежедневно, курс длится 10 дней. Цена лекарства – от 100 руб. за упаковку.
- Линекс – препарат для нормализации микрофлоры кишечника. Капсулы помогают предотвратить дисбактериоз, спровоцированный лечением антибиотиками, считаются очень эффективными и безопасными. В сутки больной принимает по 1 капсуле. Длительность курса – 7 дней. Цена лекарства – 300 руб. за упаковку.
В период восстановления пациенту назначают витаминные комплексы, которые подбираются индивидуально. Обычно терапия длится не более 2 недель, но в запущенных случаях понадобится до 4 недель для полного выздоровления.
Народные методы
Пневмония (лечение у взрослых может включать рецепты народной медицины) иногда лечится с помощью нетрадиционных методов. Домашние рецепты не могут стать единственным способом терапии, но выступает в качестве вспомогательного.
- Отвар чабреца и мать-и-мачехи помогает стимулировать выработку и отхождение мокроты из легких. На 1 л воды понадобится по 5 г каждого ингредиента в сухом виде. Варить состав следует 3 мин, настаивать – 30 мин. После этого профильтрованное средство принимать по 200 мл 3 раза в сутки. Длительность курса – 5-7 дней.
- Отвар липы – природное жаропонижающее и потогонное средство. Получить его можно путем кипячения 5 г сухой травы в 500 мл воды на протяжении 2 мин. Готовое и профильтрованное средство следует принимать перед сном по 300 мл. Курс длится 5 дней.
- Сок алоэ стоит принимать на протяжении 7 дней по 10 мл в сутки. Приготовить его можно путем измельчения свежих мясистых листьев. После этого следует отжать их через марлю, полученный сок хранить в холодильнике не более 3 дней.
Прочие методы
Для ускорения периода восстановления легких используют массаж, иглоукалывание и специальную технику дыхания.
Массаж должен проводиться специалистом. Врач использует методику, которая позволяет ускорить отхождение остаточной мокроты из легких. Сеанс длится 20 мин, периодичность проведения – 1 раз в 2 дня, количество процедур – от 10 до 15.
Иглоукалывание – эффективный альтернативный метод лечения, при котором в определенные точки на коже пациента вводятся иглы и оставляются там на некоторое время. Сеанс длится от 30 до 40 мин, проводится 1 раз в 3 дня на протяжении месяца.
Специальную технику дыхания пациент может применять самостоятельно в домашних условиях. Она заключается в полном освобождении легких от воздуха с последующим резким их заполнением. После этого необходимо снова резко выдохнуть и на 3-5 сек з?
Предыдущая статья
При ожоге лучше лежать или двигаться
Следующая статья
Как устранить ожоги от крапивы
Связанные материалы
- Пневмония Пневмония у детей для врачей By Гречко Клара 4 года ago
- Пневмония Какие причины пневмонии у новорожденных By Чубаров Кузьма 5 лет ago










