Пневмония — это острое инфекционное заболевание, которое поражает нижние отделы лёгких и характеризуется скоплением экссудата в альвеолах, инфильтрацией тканей, расстройствами дыхательных функций. Болезнь у детей имеет свои особенности, может чаще сопровождаться различными осложнениями. Поэтому родителям стоит знать основные симптомы и методы диагностики воспаления лёгких у малышей, чтобы вовремя заподозрить недуг.
Признаки пневмонии у детей
Условно симптомы воспаления лёгких у малышей можно разделить на ранние и поздние в зависимости от периода, когда они возникли. Как правило, заболевание развивается вследствие иных патологий органов дыхания, например, ОРВИ, гриппа, поэтому клинические проявления можно заметить на 5–7 сутки их течения. Иногда этот срок сокращается до двух дней. Такое начало характерно для внегоспитальных пневмоний.
Что касается госпитальных форм болезни, то они развиваются спустя трое суток после поступления ребёнка в стационар. Клиническая картина таких пневмоний ничем не отличается от внегоспитальных.
Как правило, первыми симптомами пневмонии у детей являются следующие:
- нарушение общего состояния: плаксивость, снижение аппетита, слабость;
- затруднение носового дыхания, насморк;
- кашель, причём может быть как сухим, так и влажным, иногда этот симптом отсутствует вовсе;
- повышенная температура, которая держится не менее 3 дней;
- румянец на одной из щёк;
- усиленное потоотделение.
При пневмонии у ребёнка наблюдается слабость, повышение температуры, кашель
Вышеуказанные симптомы не всегда могут свидетельствовать о развитии пневмонии, так как они характерны и для других болезней органов дыхания. Однако при их возникновении следует сразу же обратиться за помощью к врачу, что правильно установить диагноз и провести своевременное лечение.
Если пневмония прогрессирует, или же родители не обращаются за медицинской помощью на протяжении нескольких дней от начала болезни, у ребёнка развивается дыхательная недостаточность, нарушается работа внутренних органов, в частности сердца и сосудов.
На данном этапе воспаление лёгких сопровождается следующими признаками:
- полный отказ от еды;
- цианоз (посинение) носогубного треугольника, который значительно усиливается во время плача, сосания груди младенцем;
Цианоз носогубного треугольника часто возникает при пневмонии у детей
- синюшность кончиков пальцев, возникающая из-за нарушения циркуляции крови по мелким капиллярам;
- бледность кожных покровов;
- боль в груди, мышцах;
- участие межрёберных мышц в акте дыхания;
- учащённое дыхание;
- тахикардия.
Учащение дыхательных движений всегда характерно для пневмонии, однако их число зависит от возраста ребёнка, и родителям важно знать, сколько составляет норма вдохов при заболевании.
Соответствие числа вдохов при заболевании возрасту ребёнка — таблица
Воспаление лёгких у детей прогрессирует очень быстро, поэтому родители должны своевременно замечать патологические признаки и сразу же обращаться к врачу, ведь у ребёнка данная болезнь часто протекает тяжело и сопровождается осложнениями.
При аускультации лёгких удаётся прослушать рассеянные влажные и сухие хрипы. Кроме того, пневмония может протекать в нескольких формах в зависимости от обширности патологического процесса, типа возбудителя, поэтому и её признаки будут несколько отличаться.
Особенности течения различных форм пневмонии
Учитывая локализацию воспалительного очага и его размер, воспаление лёгких разделяют на несколько форм.
Клинические признаки разных форм заболевания — таблица
Интерстициальная пневмония требует незамедлительного лечения, так как часто становится причиной развития фиброза лёгких и может трансформироваться в хронический процесс.
Кроме того, клиника пневмонии у детей зависит от типа возбудителя, который спровоцировал развитие воспалительных изменений в тканях лёгких. Чаще всего им является вирусная или бактериальная микрофлора.
Клиническая картина при вирусной форме заболевания
Воспаление лёгких, вызванное вирусной природой, встречается чаще всего. При этом у ребёнка наблюдаются следующие симптомы:
- значительное повышение температуры тела;
- ломота в теле, мышечная боль;
- головная боль;
- сухой надсадный кашель;
- значительная одышка;
- слабость, повышенная утомляемость.
Особенности бактериального воспаления лёгких
Если причиной развития болезни стала бактериальная микрофлора, клинически она проявляется так:
- гипертермия, достигающая 38 градусов;
- озноб;
- синюшность кожных покровов;
- тахипноэ (поверхностное и частое дыхание);
- боль в груди;
- кашель с выделением густой зеленоватой мокроты;
- тахикардия;
- повышенная потливость.
Отличить этиологию пневмонию только по клиническим симптомам невозможно.
Отдельно стоит рассмотреть стафилококковую форму болезни, так как она характеризуется острым началом и часто приводит к возникновению осложнений в виде абсцесса лёгких.
В подавляющем большинстве случаев этот тип заболевания диагностируется как внутрибольничная инфекция. Внегоспитальные стафилококковые пневмонии возникают крайне редко.
Отличительной чертой такой формы болезни является устойчивость возбудителя к пенициллину, что требует использования антибиотиков иных групп для лечения. Кроме вышеперечисленных симптомов, у ребёнка наблюдается очень высокая температура, достигающая 40 градусов. Она держится около 10 дней и плохо сбивается жаропонижающими средствами. Также у некоторых детей отмечается расстройство работы пищеварительного тракта.
Читайте также:
Почему нет мокроты при пневмонии
Наиболее опасным вариантом течения болезни является отсутствие каких-либо симптомов. В таких случаях определить присутствие патологии можно лишь при проведении дополнительных методов диагностики.
Также стоит отметить, что иногда врачи говорят о «немой» пневмонии. Она характеризуется наполнением лёгких воспалительным экссудатом, в результате чего присутствует симптоматика, указывающая на развитие этого недуга, однако выявить какие-либо изменения в ходе перкуссии или аускультации сложно.
Как протекает атипичная форма болезни
Атипичной пневмонией принято называть воспаление лёгких, вызванное микрофлорой, которая нетипична для этого заболевания. К ней относятся:
- микоплазмы;
- хламидии;
- легионеллы.
Атипичная форма болезни часто диагностируется среди детей. Она сопровождается такими симптомами, как:
- слабость, разбитость;
- потеря аппетита;
- сухой надсадный кашель;
- повышение температуры тела до 40 градусов;
- гиперемия зева;
При атипичной пневмонии часто можно обнаружить покраснение горла
- насморк;
- першение в горле;
- головная боль;
- кровохаркание;
- боль в груди.
При подозрении на развитие атипичной пневмонии необходимо провести бактериологическое исследование, которое позволит определить тип возбудителя и его чувствительность к антибактериальным препаратам.
Прикорневая пневмония
Если воспалительный процесс охватывает корень лёгкого, говорят о прикорневой пневмонии. Она имеет свои особенности в клинических проявлениях. Как правило, присутствуют следующие симптомы:
- сухой или влажный кашель;
- повышение температуры – данный признак может наблюдаться на протяжении длительного времени, что может послужить причиной ошибочной диагностики туберкулёза;
- интоксикация организма на фоне нормального общего состояния малыша.
В анализе крови при атипичной пневмонии удаётся обнаружить повышение СОЭ (скорости оседания эритроцитов), лейкоцитоз. На рентгеновском снимке присутствуют участки затемнения, которые часто не позволяют даже чётко увидеть границы сердца.
Течение заболевания у новорождённых
Нередко у младенцев пневмония носит врождённый характер и развивается ещё внутриутробно, или заражение же происходит в процессе родов вследствие присутствия инфекции в родовых путях матери.
У младенцев заболевание протекает особенно тяжело
Симптоматика воспаления лёгких такая же, однако из-за отсутствия стойкого иммунитета она является более выраженной. При этом риск возникновения осложнений также значительно возрастает.
Порой для спасения жизни малыша приходится помещать его в реанимацию для проведения лечебных мероприятий.
Диагностика
Чтобы подтвердить присутствие пневмонии у ребёнка, необходимо провести ряд исследований. Прежде всего применяется объективный осмотр малыша, который включает:
- Аускультацию лёгких. В ходе прослушивания удаётся обнаружить мелкопузырчатые хрипы. Они могут быть сухими или влажными. Также наблюдается жёсткое ослабленное дыхание.
При пневмонии прослушиваются хрипы, дыхание жёсткое
- Перкуссию. При постукивании над поражённой областью можно обнаружить укорочение перкуторного звука.
Кроме того, врач должен узнать, как начиналось заболевание, на какой день обратился больной за помощью, какие симптомы присутствуют.
Точно установить диагноз можно лишь путём применения инструментальных методов, таких как:
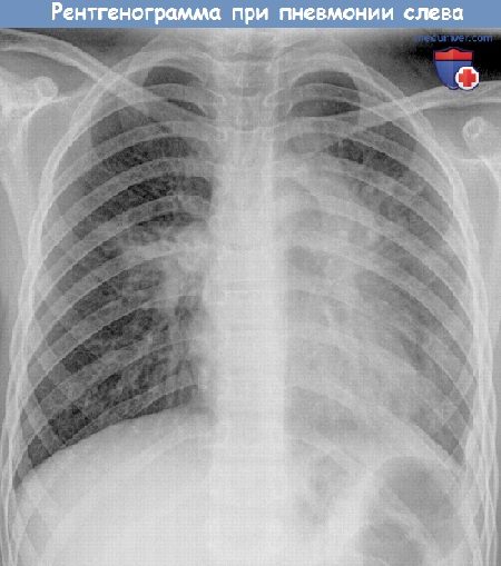
- Рентгенографическое исследование. Является основным методом диагностики пневмонии у детей. Позволяет определить воспалительный инфильтрат в лёгких, его локализацию, размер. Также с его помощью удаётся обнаружить скопление экссудата.
При пневмонии рентгенографическое исследование является наиболее информативным
- Общий анализ крови. Назначается всем детям при подозрении на пневмонию. Выявляют повышение количества лейкоцитов, СОЭ. Иногда при затяжном течении болезни и значительном ухудшении общего состояния развивается анемия.
- Биохимический анализ крови. Используют при тяжёлом течении болезни для определения кислотно-щелочной реакции и степени интоксикации организма.
- Посев крови. Применяет при затяжных формах, а также в случае подозрения на присутствие атипичной пневмонии, чтобы установить тип возбудителя и его чувствительность к антибиотикам.
- Компьютерная томография. Позволяет точно выявить очаги инфильтрации.
- Микробиологическое исследование мокроты. Применяется для определения этиологии болезни. Однако такой метод можно использовать лишь у детей старше 7 лет, ведь малыши не умеют откашливать мокроту.
- Серологический метод. Также применяют для выявления причины пневмонии, часто помогает подтвердить атипичную форму болезни.
- Электрокардиография. Используется для оценки работы и выявления осложнений со стороны сердечно-сосудистой системы.
Дифференциальная диагностика
По клиническим признакам пневмония схожа с различными заболеваниями органов дыхания, поэтому при постановке диагноза следует проводить дифференциальную диагностику с такими состояниями, как:
- Туберкулёз. При этом заболевании начало скрытое, вялотекущее, температура тела субфебрильная. Для исключения этой патологии проводится рентген органов грудной клетки, туберкулиновая проба. Также при туберкулёзе в крови отмечается снижение уровня лейкоцитов.
С помощью туберкулиновой пробы удаётся отличить пневмонию от туберкулёза
- Бронхит и бронхиолит. Чтобы отличить эти патологии от пневмонии, достаточно провести рентгенографию, в данном случае изменения отсутствуют.
- Муковисцидоз. На рентгенограмме при этой болезни удаётся обнаружить не только участки инфильтрации, но и склерозирования.
- Аппендицит. Спутать воспаление червепообразного отростка и пневмонию можно в тех случаях, когда поражается нижний отдел правого лёгкого. Достаточно провести пальпацию живота. Также подтвердить диагноз удаётся путём проведения рентгенографии лёгких.
Читайте также:
Может ли быть сильный кашель при пневмонии
Чтобы исключить вышеуказанные заболевания и точно диагностировать пневмонию у ребёнка, необходимо провести все инструментальные исследования.
Доктор Комаровский о заболевании — видео
Родители должны знать, что при возникновении первых признаков воспаления лёгких следует немедленно обращаться за медицинской помощью. В ином случае есть риск развития тяжёлых осложнений со стороны внутренних органов, в частности сердца и сосудов. При своевременном выявлении и верно подобранной терапии прогноз благоприятный.
- Автор: Марина Ковалева
- Распечатать
Я врач-психоневролог со стажем работы 26 лет. Преподаю в медицинском колледже неврологию, психиатрию с наркологией и геронтологию.Интересуюсь медицинским копирайтингом.
Оцените статью:
(0 голосов, среднее: 0 из 5)
|
Как определить, что у ребенка воспаление легких? Как правильно лечить пневмонию у детей?Воспаление лёгких — опасная болезнь, поэтому ее нужно уметь правильно лечить. Особенно это актуально по отношению к малышам, так как согласно статистике, каждый год во всем мире от пневмонии умирают 1,4 миллиона детей в возрасте до 5 лет. Несмотря на достижения современной медицины, воспаление легких по частоте смертельных исходов занимает первое место среди всех инфекционных заболеваний. Пневмония или воспаление легких — это инфекционное заболевание, при котором поражаются самые нижние отделы дыхательной системы и нарушается функция легкого. Именно поэтому основным показателем пневмонии является не кашель и насморк, а одышка, потому что альвео-лярные мешочки при воспалении легких наполняются жидкостью или гноем, что затрудняет газообмен и вентиляцию в легких. Частое и кряхтящее дыхание ребенка — серьезный повод для обращения к врачу, даже если насморка и кашля при этом у него нет. В норме частота дыхания у детей в спокойном расслабленном состоянии должно быть следующим: — у новорожденных младше 2 месяцев — до 50 вдохов в минуту; — у малышей от 2 месяцев и до 1 года — до 40 вдохов в минуту; — у детей в возрасте 1-3 лет — до 30 вдохов в минуту; — у дошколят в возрасте 3 -7 лет — до 25 вдохов в минуту; — у школьников 7 -10 лет — до 20 вдохов в минуту. При воспалении легких эти показатели намного больше. Заболеть пневмонией ребенок может в любое время года, а не только зимой. Особенно опасна пневмония для малышей до 5 лет, иммунитет которых еще неокрепший, а организм их еще не умеет справляться с инфекцией. Пневмония редко бывает самостоятельной болезнью, чаще всего она развивается на фоне бронхита, сильной простуды и заболеваний горла из-за загустевания и плохого отхождения мокроты, препятствующей вентиляции легких. Причиной развития воспаления в легких могут быть вирусы, бактерии и грибки. Встречаются и смешанные воспаления, например, вирусно-бактериальные. По степени развития болезни пневмония может быть односторонней и двусторонней. Двусторонняя пневмония наиболее опасная, именно она является основной причиной детской смертности. К сожалению, многие родители ошибочно принимают пневмонию ребенка за обычную простуду и ждут, когда вот-вот ему станет лучше. И только тогда, когда ребенок уже становится сосвсем слабым, а его температура не падает даже после приема жаропонижающих средств, вызывают скорую помощь. Важно: если у ребенка высокая температура, он жалуется на боль в груди при кашле и дыхании, у него одышка, то обязательно надо вызвать врача, чтобы исключить воспаление лёгких. Специфические симптомы, по которым можно заподозрить пневмонию у ребенка, следующие: — он болеет гриппом или другой вирусной инфекцией уже 3-5 дней, а состояние его не улучшается или после незначительного улучшения температура поднялась снова; — жаропонижающие средства малоэффективны, они сбивают температура лишь на 30-40 минут ; — у него частое и шумное дыхание, одышка; — он часто кашляет, попытки сделать глубокий вдох каждый раз заканчиваются кашлем; — он слабый, постоянно спит и ничего не хочет кушать; — кожа у него стала бледной, а губы приобрели синюшный оттенок; — он жалуется на боль в животе и тошноту. Для диагностики пневмонии врач прослушивает дыхание ребенка стетоскопом, дает направление на сдачу анализа крови и прохождение рентгента грудной клетки. При пневмонии прослушиваются хрипы влажные и мелкопузырчатые, а при бронхите они сухие и свистящие. В последнее время для точной постановки диагноза «пневмония» терапевты используют результаты анализа крови на С реактивный белок. По результатам такого исследования можно определить, насколько сильно воспаление в легких. Если уровень С реактивного белка меньше 20 мг/л, то, скорее всего, у ребенка — бронхит, а воспаления в легких нет. Если же этот показатель приближается к 100 мг/л, то надо срочно сделать рентгеновский снимок, чтобы окончательно подтвердить диагноз «пневмония». Рентгенограмма при пневмонии у ребенка. Рентгеновский снимок — обязательный метод исследования при подозрении пневмонии (воспаления легкого). Лечение пневмонии зависит от типа микроорганизма, который способствовал ее развитию. Вирусная пневмония, которая развивается на фоне ОРВИ, считается более легкой формы. Она не требует длительного лечения и обычно проходит вместе с вирусной инфекцией. Чего нельзя сказать о бактериальной пневмонии. Ее обязательно следует лечить антибиотиками. Они помогают не только бороться с инфекцией, но и снижают температуру. Поэтому в данном случае жаропонижающие средства врач может и не назначить. Многие родители спрашивают врачей: «А можно ли лечить пневмонию ребенка дома?», так как не желают оставлять его одного в больнице. Биодоступность современных антибиотиков высокая, поэтому при легких формах пневмонии врач может разрешить лечить ребенка и дома, но отказываться от госпитализации, пренебрегая врачебных рекомендаций, при воспалении легких нельзя. Особенно если родители несвоевременно вызвали терапевта и пытались лечить ребенка сами, успев дать ему попробовать 2-3 вида антибиотика. В этом случае понятно, что таблетки ребенку уже не помогут, надо делать инъекции. Начатое на ранней стадии лечение воспаления легких помогает избежать тяжелых осложнений. Очень распространённая ошибка многих родителей — самостоятельно прекращать давать ребенку антибиотики. Полечились 3- 5 дней, температуры больше нет, и перестают давать лекарства, назначенные врачом. Этого делать ни в коем случае нельзя. Если врач назначил курс антибиотиков на 10 дней, значит, принимать их нужно именно столько времени, и ни днём меньше, даже если ребенок чувствует себя уже здоровым. Во время болезни ребенок отказывается от еды и не хочет пить. Это нормальное явление, указывающее на то, что организм «экономит» силы, чтобы бороться с недугом. Заставлять ребенка насильно кушать не нужно, а вот поить его водой надо часто и небольшими порциями. Она разжижает слизь в легких и выводит токсины из организма. Вместо воды можно ребенку дать настой шиповника, компот из сухофруктов и ягод, а также свежевыжатые соки, разбавленные водой 1:1. В период лечения пневмонии не нужно давать ребенку аптечные общеукрепляющие витаминные или иммуномодулирующие препараты. Они только увеличивают нагрузку на печень, которая во время болезни и так страдает. После окончания приема антибиотиков врач может назначить пробиотики, восстанавливающие микрофлору кишечника, сорбенты, чтобы ускорить очищение организма от токсинов и витаминное питание. В комнате, где лежит больной ребенок, должно быть чисто и свежо. Полезно там поставить увлажнитель воздуха, чтобы мокроты не пересыхали и не застаивались в легких, а ребенку было легче дышать. При правильном лечении пневмонии ребенок быстро восстанавливается. К нему возвращаются прежний аппетит, отличное самочувствие и хорошее настроение. Видео уроки техники аускультации легкихРекомендуем посмотреть другие видео ролики по пропедевтике Предлагаем ознакомиться со звуками аускультации легких:1. Везикулярное дыхание: 2. Бронхиальное дыхание: 3. Влажные хрипы: 3. Сухие хрипы: 4. Шум трения плевры: 5. Крепитация: 6. Жесткое дыхание: 7. Амфорическое дыхание: 8. Побочные дыхательные шумы: 9. Аускультация легких: — Вернуться в оглавление раздела «Пульмонология» Автор: Искандер Милевски Рекомендуем ознакомиться с тематичными статьями на нашем сайте:
|
Читайте также:
Что принимать при пневмонии у взрослых

