Рентгенография грудной клетки – один из наиболее информативных методов диагностики заболеваний дыхательной системы, включая пневмонию. Он позволяет не только выявить патологический процесс, определить его локализацию и особенности, но и оценить эффективность проводимого лечения. Как же выглядят рентгенологические признаки пневмонии на снимках, и как проводится рентгенография при данной патологии?
В каких целях проводят рентгенографию
Пневмония представляет собой воспалительное заболевание, которое вызывают патогенные микроорганизмы – вирусы, бактерии, грибки. Симптомы включают повышение температуры до 38-39 градусов, кашель, одышку, хрипы в грудной клетке, ухудшение общего самочувствия. Сложность диагностики пневмонии заключается в том, что вышеперечисленные признаки характерны не только для воспаления легких, но и для других заболеваний – острого бронхита, плеврита, онкологических процессов и т.д.
Рентгеновское исследование основывается на сканировании внутренних органов с помощью специального аппарата, который излучает электромагнитные волны определенной длины. Проходя сквозь ткани человеческого тела, они оставляют на поверхности пленки следы, из которых формируется изображение соответствующего органа. По ней можно определить патологические изменения и составить полную картину разных заболеваний, в том числе воспалительных процессов в респираторных органах.
В число показаний к проведению рентгена грудной клетки входит кашель с обильным отделением мокроты, сильная лихорадка (38-39 градусов), озноб, боли в груди и другие признаки, которые могут свидетельствовать о патологических процессах в органах дыхательной системы.
ВАЖНО! Постановка диагноза при пневмонии должна основываться не только на рентгеновских снимках, но и на результатах выслушивания грудной клетки, анализов крови и мокроты и других методах обследования.
Существует два основных способа проведения процедуры – обычный (пленочный) рентген и цифровой, который позволяет получить более четкие и информативные снимки, а также снижает рентген-нагрузку на организм. Выбор методики зависит от оснащения конкретного медицинского учреждения – аппараты для цифровой диагностики есть далеко не во всех больницах и поликлиниках.
Чем отличается от флюорографии
Рентгеновское и флюорографическое исследование имеют один и тот же принцип, но при диагностике пневмонии предпочтение отдается рентгену.
Флюорография позволяет выявить изменения в тканях легких на ранних стадиях, но не дает достаточно четкой рентгенологической картины для постановки точного диагноза.
Вместе с тем, коэффициент облучения при проведении процедуры гораздо меньше, чем при рентгеновском исследовании, поэтому флюорографию делают в профилактических целях, а рентген – непосредственно для диагностики патологических процессов при наличии соответствующих симптомов.
Может ли не показать воспаление легких
Пневмония имеет множество форм клинического течения, а очаги воспаления могут располагаться в любом сегменте легких, и в некоторых случаях определить заболевание по рентгенограмме бывает непросто, особенно если поражен небольшой участок органа. Если после проведения исследования у врача остаются сомнения, больному назначаются дополнительные диагностические процедуры – как правило, КТ или МРТ.
СПРАВКА! Труднее всего выявить пневмонию у детей, страдающих от иммунодефицитных состояний, поэтому в таких случаях ребенка лучше сразу направлять на КТ или МРТ.
Как выглядит недуг на снимке
После проведения рентгенографии снимки должен изучить специалист, и на основе полученных данных и результатов других исследований сделать соответствующие выводы и поставить диагноз. В норме легкие и бронхи человека выглядят следующим образом:
- легочные доли имеют одинаковый, равномерный черный оттенок;
- в районе сердца наблюдается белый просвет;
- ребра и ключицы серые, с привычными очертаниями;
- купола диафрагмы белого цвета;
- позвоночный столб расположен в центре.
Признаки пневмонии на рентгеновском снимке во многом зависят от формы заболевания и его стадии, а также от локализации патологического процесса. Если исследование показало признаки пневмонии, необходимо как можно скорее приступить к лечению – запущенный патологический процесс опасен не только для здоровья, но и для жизни человека.
Основные признаки, описание
Первый признак пневмонии на рентгеновском снимке – появление очагов затемнения с неровными контурами в разных частях легкого, которые могут иметь разный размер, от 3-4-х до 12 мм.
Тени различают по внешнему виду (круглые, овальные кольцевидные) и интенсивности окраски – чем темнее пятно, тем сильнее выражен патологический процесс.
При поражении лимфатических узлов и нарушении кровоснабжения органа могут наблюдаться изменения корней легких, а если болезнь затронула плевру – нарушение в рисунке куполов диафрагмы. В остальном проявления пневмонии зависят от стадии, формы и клинических особенностей заболевания:
- Очаговая форма. На рентгене отображаются небольшие (1-1,5 см) тени со слабой или умеренной интенсивностью окраски, неоднородной структурой и нечеткими границами. Очаги поражения могут быть единичными или множественными, а в некоторых случаях они сливаются в одно большое пятно. Корни легких расширены, причем нарушения нормального рисунка органа могут сохраняться в течение нескольких дней после выздоровления.
- Крупозная пневмония. Наблюдаются изменения нормального легочного рисунка, жидкость в полости плевры, признаки инфильтрации одной из долей легкого, расширение корней. По мере развития воспалительного процесса выраженность изменений и интенсивность окраски затемнений усиливается.
- Интерстициальная форма. На снимке заметно уплотнение корней легких и другие изменения, которые формируют выраженный рисунок, напоминающий ветви дерева.
- Абсцедирующая пневмония. Проявляется обширным затемнением пораженной области, признаками утолщения плевры и наличием полостей разного размера, наполненных жидкостью.
- Аспирационная форма. Рентген характеризуется треугольными пятнами с однородной структурой, светлыми очагами и приподнятой диафрагмой.
ВАЖНО! Сложнее всего поддается диагностике очаговая пневмония – на первых стадиях она проявляется небольшими очагами инфильтрации, которые не всегда заметны на рентгене.
Стадии заболевания
Воспалительный процесс при пневмонии протекает в несколько этапов, причем каждый из них характеризуется определенными изменениями на рентгеновских снимках.
- Стадия прилива. Первая стадия болезни продолжается от 12 до 72 часов и проявляется усилением кровообращения в легких, ухудшением их функций и образованием жидкости в альвеолах. На снимках наблюдается четкий рисунок органа, который напоминает решетку, размытость крайних точек и увеличение корней.
- Стадия опеченения. Ткани легких уплотняются, и становится похожей на ткани печени. Рисунок легких на данной стадии выражен не так интенсивно, на нем формируются темные пятна со светлыми полосами, корни органа расширены, причем особенно это заметно на пораженной стороне. По мере развития патологического процесса очаги воспаления затемняются, а наличие жидкости хорошо заметно на снимках.
- Стадия разрешения. Начало регенерации тканей легких: снижение интенсивности рисунка органа и окраски затемнений, исчезновение крупных элементов в месте поражения и признаков наличия жидкости.
СПРАВКА! Изменения в легочном рисунке могут присутствовать на протяжении нескольких недель после выздоровления.
Как часто можно проходить рентгенодиагностику
В среднем рентгенологическое исследование рекомендуется проходить не более 1-2-х раз в год, но при пневмонии процедура проводится чаще, так как риск развития осложнений превышает опасность от радиационного облучения. Как правило, рентген выполняется не менее 3-х раз – при постановке диагноза «пневмония», через 3-5 дней после начала терапии для контроля ее эффективности, а также после исчезновения клинических симптомов. Повторные снимки после выздоровления больного надо делать для предупреждения осложнений и последствий заболевания – абсцессы легких, разрастание фиброзной ткани и т.д.
Противопоказания
Относительными противопоказаниями к проведению процедуры являются беременность (особенно первый триместр) и тяжелое состояние больного. Однако при наличии характерных симптомов процедура рекомендована всем без исключения, в том числе будущим мамам – для уменьшения негативного воздействия на плод живот беременной закрывают специальным фартуком, который не пропускает рентгеновские лучи. Точно определить пневмонию без рентгеновского снимка практически невозможно – из-за отсутствия специфических симптомов слишком велика вероятность ошибки и неправильного лечения.
Полезное видео
Ознакомьтесь подробно о рентгенографии при пневмонии на видео ниже:
Пневмония – опасное заболевание, которое при отсутствии соответствующей терапии может привести к серьезным последствиям. Единственным способом выявить патологические изменения в легких является рентген, поэтому не стоит пренебрегать данной процедурой – своевременное исследование поможет предотвратить угрозу не только для здоровья, но и для жизни больного.
Оцените статью:
Загрузка…
Коронавирусная инфекция прежде всего поражает лёгкие, начиная с горла и переходя по дыхательным путям к жизненно важному органу. Узнаем, как выглядят лёгкие при коронавирусе на рентгене и в чем отличия COVID-19 от пневмонии.
Как коронавирус выглядит на рентгене?
COVID-19 поражает лёгкие. В плевральной полости вокруг органа дыхания накапливается жидкость и он увеличивается в размерах. Лёгочная ткань покрывается рубцами, и из-за этого человеку становится трудно дышать, так как часть органа разрушается и кислороду трудно попасть в кровь.
При рентгеновском излучении лёгких, поражённых коронавирусной инфекцией, наблюдаются затемнения в нижней части органа (на снимке обозначаются белыми пятнами). Пятна называются симптомом “матового стекла”. На рентгене видны пятна, которые обуславливаются наличием жидкости в лёгких.
Симптом “матового стекла” в легких
Симптом “матового стекла” проявляется у больных на фоне поражения лёгких вирусом. Так как дыхательный орган подвергается серьёзным изменениям, в нём появляются зоны повреждений.
Снижается плотность лёгочной ткани. В поражённом участке проявляется умеренно-сниженная воздушность, главным признаком выступает видимость сосудов лёгких и стенок бронхов.
Заметить данный симптом на рентгене сложно, поэтому требуется дополнительно сделать компьютерную томографию.
Типичные признаки проявления симптома “матового стекла”:
- стенки и структура бронхов чётко проглядываются;
- видны затемнения;
- сохраняется сосудистый рисунок;
- повышается прозрачность лёгочной ткани.
Причины, при которых встречается данный симптом:
- отёк лёгких;
- пневмонии, вызванные вирусными частицами;
- хронические заболевания лёгочных тканей;
- синдром дыхательных расстройств;
- системные заболевания соединительной ткани;
- сердечная недостаточность в стадии альвеолярного отёка лёгких;
- кровотечения из лёгочных сосудов.
Ниже представлены фото, как выглядит симптом “матового стекла” на рентгене и компьютерной томографии:
Как проявляется поражение легких при коронавирусе?
Типичные проявления нарушений органа дыхания при коронавирусной инфекции:
- в лёгких накапливается жидкость и постепенно занимает всё большую площадь;
- поражаются стенки сосудов и клеток крови в лёгких;
- видны затемнения по типу “матового стекла” различного размера, сопровождающееся уплотнением перегородок между альвеолами – пузырями, где капилляры органа обогащаются кислородом;
- в лёгких образуется рубцовая ткань, называющаяся “фиброзом”, вследствие чего снижается растяжимость и эластичность ткани.
Отличия пневмонии от коронавируса?
Пневмония – это воспаление лёгких, которое провоцируется бактериями. Обычная пневмония развивается, когда в органах дыхания скапливается мокрота, поэтому начинается нарушение вентиляции органа и размножаются микроорганизмы.
При пневмонии поражается только часть лёгких, а при коронавирусной инфекции страдает весь орган, он заполняется жидкостью и перестаёт снабжаться кислородом.
Пневмонию, в отличие от коронавируса, можно вылечить антибиотиками, уничтожив возбудителя.
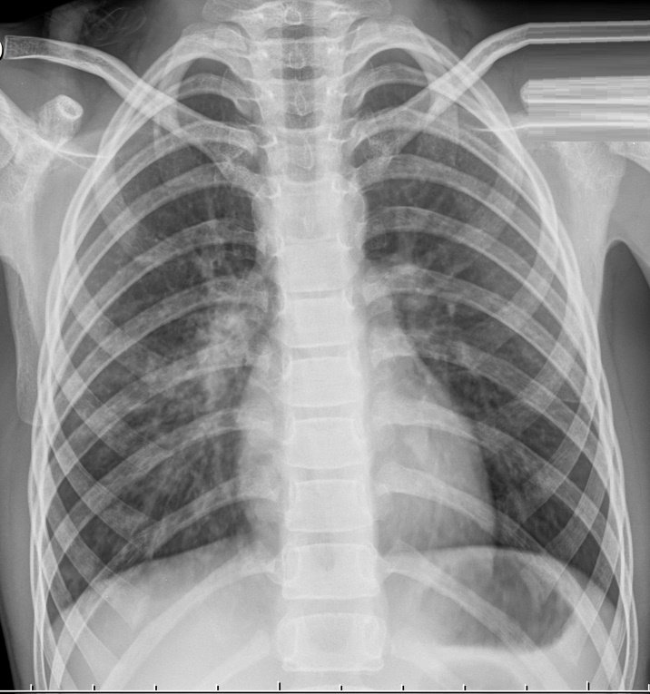
При пневмонии, на рентгеновском снимке легких, видны следующие признаки:
- в разных частях органа находятся очаги затемнения, имеющие неровные контуры и размер 3-12 мм;
- различаются тени по внешнему виду (овальные, кольцевидные, круглые), интенсивности цвета – чем темнее будет пятно, тем сильнее патологический процесс;
- если поражены лимфатические узлы и нарушено кровоснабжение органа, может быть заметно изменение корней лёгких, если поражена плевра – видны нарушения в рисунке куполов диафрагмы.
На рентгеновском снимке пневмония выглядит следующим образом:
Пневмония может развиваться в течение нескольких недель, а инкубационный период COVID-19 составляет 2-5 суток.
Чем отличается атипичная пневмония от коронавируса?
Атипичная пневмония вызвана воздействием микроорганизмов (микоплазм, хламидий, легионелл), являющихся нехарактерными для пневмонии. Также её называют острым респираторным синдромом. Болезнь первоначально проявляется интоксикацией:
- тошнотой;
- повышением потоотделения;
- слабостью;
- учащённым сердцебиением.
Не всегда больного беспокоит кашель. Высокая температура может сохраняться в течение длительного времени. Ещё одна особенность атипичной пневмонии – увеличение числа лейкоцитов в единице объёма крови, который можно определить, сдав анализ.
При атипичной пневмонии легких на рентгеновском снимке видны затемнения:
- мелкоочаговые – не более 3 мм;
- среднеочаговые – не более 7 мм;
- крупноочаговые – не более 12 мм;
- фокусные – более 12 мм.
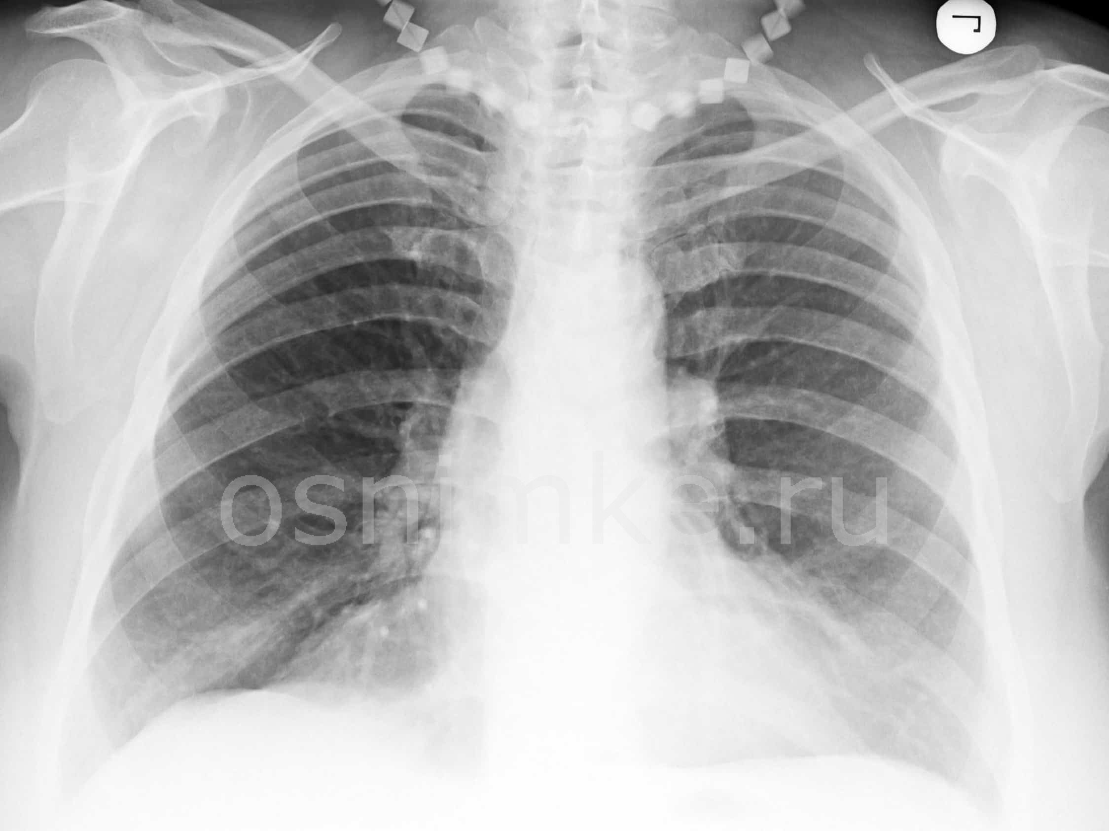
Атипичная пневмония на рентгеновском снимке:
COVID-19 отличается от атипичной пневмонии тем, что сопровождается прежде всего лёгочными проявлениями. Симптомы обоих заболеваний могут совпадать – повышение температуры, насморк и боль в горле.
Атипичную пневмонию можно вылечить Тетрациклином, Ципрофлоксацином или макролидами. Но при COVID-19 эти средства не эффективны.
Отличие вирусной пневмонии от коронавируса?
Вирусная пневмония отличается от коронавируса более лёгким течением болезни. Распространёнными возбудителями вирусной пневмонии являются вирусы группы A и B, аденовирусы и вирусы парагриппа.
Как и при простой пневмонии, при вирусной форме заболевания, на рентгене видны такие же признаки поражения легких:
- затемнения;
- тени разной формы и размера;
- изменение корней легких.
Вирусная пневмония на рентгеновском снимке выглядит следующим образом:
Коронавирус отличается от вирусной пневмонии данными признаками:
- быстро развивается тяжёлая форма патологии, вирусная пневмония даже при неутешительных прогнозах оставляет шансы на выздоровление;
- коронавирус сопровождается учащённым сухим кашлем, если поражены оба лёгких, выделяется мокрота;
- плохо сбивается температура, при вирусной форме пневмонии по утрам температура уменьшается.
Самостоятельно отличить коронавирус от воспаления лёгких невозможно.
Коронавирусная инфекция оказывает разрушающее действие на легкие. Поэтому при ухудшении самочувствия, нужно обратиться за медицинской помощью. Такой подходит значительно увеличивает шансы на выздоровление.
Рентгенограмма грудной клетки до сих пор остаётся «золотым стандартом» диагностики большинства патологий дыхательной системы.
Пневмония не является исключением, признаки патологии несложно обнаружить на снимке. Рентген важен для постановки точного диагноза, а также играет ключевую роль в дифференциальном исследовании. Важно иметь общее представление как выглядит пневмония у взрослых и детей.
Рентген снимок атипичной пневмонии
Атипичная пневмония — собирательный термин, включающий инфекционно-воспалительные поражения тканей лёгких. Причинами являются нехарактерные возбудители — микоплазма, хламидия, легионелла, вирусы. Воспаление лёгких протекает с повышением температуры, одышкой, общим недомоганием.
Диагностировать патологический процесс можно при помощи рентгена. Так, для микоплазменной формы характерна неоднородная инфильтрация лёгочной ткани, она может определяться слабо или быть среднеинтенсивной.
При легионеллезной, на снимке видно уплотнения (инфильтраты) округлой формы, локализующиеся на поверхности одной доли лёгкого. В ряде случаев наблюдается слияние инфильтратов.
У 25% пациентов одновременно с пневмонией определяется плеврит, с незначительным скоплением секрета в плевральной полости.
Правосторонняя бронхо- пневмония
Практически невозможно отличить пневмонию Legionella от других, основываясь на таком методе обследования. Присутствие легионеллы или хламидии подтверждается серологическим анализом крови.
Отдельное внимание стоит уделить воспалению неинфекционной этиологии. Одна из таких форм — инфаркт-пневмония, развивающаяся на фоне тромба, попавшего из лёгочной артерии в лёгкое. На рентгеновском изображении выступает как очаговое поражение с относительно чётким контуром.
Другой тип неинфекционного воспаления лёгочной ткани — аспирационный. Причиной выступает содержимое пищеварительного тракта, попавшее в дыхательные пути. Этот тип патологии характеризуется многообразием симптомов, которые имитируют различные заболевания лёгких.
Как правило, на снимке однородный очаг, контуры относительно чёткие. С целью контроля лечения аспирационной пневмонии рекомендуется проходить повторный рентген.
Как выглядит заболевание на рентгеновском снимке
Признаки воспаления лёгких на снимке называют «затемнениями», отображаются они белым цветом, поскольку само изображение является негативом.
Пятна и рентген-признаки:
- До 3 мм — мелкоочаговые.
- До 7 мм — среднеочаговые.
- До 12 мм — крупноочаговые.
- От 12 мм и более — фокусные.
Пневмония на снимке, в частности затемнения, характеризуются следующим образом:
- Распространённые. Визуализируют в пределах одного сегмента.
- Субтотальные. Затемнение большей части поля органа или нескольких сегментов.
- Тотальные. Патологический процесс охватывает всю область лёгочной ткани. Сильная пневмония слева
Дифференциация пневмонии от других патологий лёгких
Важным этапом постановки диагноза остаётся отличие её от других заболеваний лёгких, коронавируса. Так, при бронхите будет отсутствовать затемнение на снимке, вместо этого — усиление лёгочного рисунка.
Усиление лёгочного рисунка
В случае присутствия инородного тела, наблюдается затемнение с чёткими краями, локализующееся в нижней доле лёгкого. Спутать с воспалением типичного характера сложно.
При плеврите, на снимке скопление экссудата в поражённой области. Плеврит выступает в качестве осложнения недолеченной пневмонии.
При пневмотораксе присутствует характерный уровень жидкости. На снимке отображается как просветление, лёгочный рисунок не просматривается.
Рентгеновский снимок является основным обследованием, а в случае необходимости назначается компьютерная томография.
Пневмония на детских рентген-снимках
Пневмония на рентгенограмме у пациентов детского возраста не имеет выраженных отличий от взрослых, патология также характеризуется очагами просветления и затемнения. У детей в воспалительный процесс вовлекаются нижние отделы лёгких.
Рентгенография показывает следующее:
- очаговые затемнения диаметром 1-2 мм;
- увеличение внутригрудных лимфоузлов;
- деформация и усиление лёгочно-сосудистого рисунка;
- повышенная плотность затемнения (запущенная патология);
- в области патологического очага изменяется структура и размер лёгочного корня.
Хоть общая картина детского рентгена не различается от взрослого, некоторая разница имеется. Первое — повышенная реактивность функций иммунной системы. Поэтому даже незначительный инфильтрат способен спровоцировать воспалительную реакцию на обеих долях лёгкого.
При постановке диагноза ребёнку можно ошибиться, что связано с небольшим объёмом лёгочной ткани и повышенным присутствием лёгочного рисунка.
Можно ли не проводить рентгенографию при воспалении лёгких? Действительно, диагностика при подозрении на пневмонию не является обязательным исследованием. Но отказ от рентгенограммы не даст врачу установить диагноз, а следовательно — назначить адекватное лечение. Альтернативными методами диагностики являются КТ и МРТ.






