Пневмококковая пневмония – этиологическая разновидность бактериальной пневмонии, вызываемая Streptococcus pneumoniae (пневмококком). В клинике пневмококковой пневмонии доминируют лихорадочно-интоксикационный (выраженная слабость, анорексия, фебрильная температура, ознобы) и бронхолегочный (кашель с мокротой, одышка, боль в боку) синдромы. Установлению диагноза способствует всесторонняя оценка физикальных, рентгенологических, лабораторных данных. Антибиотиками первого ряда для лечения пневмококковой пневмонии служат пенициллины, цефалоспорины, макролиды; дополнительно проводится дезинтоксикация, оксигенотерапия, иммунокоррекция, физиотерапия.
Общие сведения
Пневмококковая пневмония – форма пневмококковой инфекции, протекающая в виде очаговой бронхопневмонии или крупозной плевропневмонии. Пневмонии пневмококковой этиологии лидируют в структуре бактериальных пневмоний. Считается, что S. Pneumoniae вызывает около 30% внегоспитальных и 5% внутрибольничных пневмоний. Наибольшая заболеваемость отмечается среди детей до 5 лет и взрослых старше 60 лет. Примерно в четверти случаев пневмококковые пневмонии протекают с тяжелыми легочными (плеврит, абсцесс легких, эмпиема плевры) и внелегочными (перикардит, артрит, сепсис) осложнениями.
До начала эры пенициллина летальность от пневмококковой пневмонии превышала 80%, в настоящее время благодаря вакцинации и антибиотикотерапии этот показатель существенно снизился. Тем не менее, уровни заболеваемости, осложненного течения и смертности остаются высокими, что обусловливает повышенную настороженность специалистов в области педиатрии и пульмонологии в отношении пневмококковой пневмонии.
Пневмококковая пневмония
Причины пневмококковой пневмонии
Streptococcus pneumoniae, возбудитель пневмококковой пневмонии, относится к грамположительным диплококкам. Бактерия окружена полисахаридной капсулой, которая служит фактором, определяющим вирулентность и патогенность пневмококка, его способность формировать антибиотикорезистентность. Учитывая строение и антигенные свойства полисахаридной капсулы, выделяют свыше 90 серотипов S.pneumoniae, 20 из которых вызывают наиболее тяжелые, инвазивные формы пневмококковой инфекции (менингит, пневмонию, септицемию).
Пневмококк является представителем условно-патогенной носоглоточной микрофлоры человека. Бактерионосительство S.pneumoniae встречается у 10-25% здоровых людей. Резервуаром и распространителем возбудителя служит бактерионоситель или больной пневмококковой инфекцией. Заражение может происходить несколькими путями:
- воздушно-капельным — при вдыхании распыленных в воздухе частиц слизи, содержащих возбудителя
- аспирационным – при попадании секрета носоглотки в нижние дыхательные пути
- гематогенным – из внелегочных очагов пневмококковой инфекции.
Категорию риска, наиболее восприимчивую к пневмококковой пневмонии, составляют дети до 2-х лет, пожилые люди в возрасте старше 65 лет, иммунокомпрометированные пациенты, лица с аспленией, страдающие алкоголизмом и табачной зависимостью. Факторами, повышающими вероятность заболеваемости, служат переохлаждение, дефицит питания, гиповитаминозы, частые ОРВИ, пребывание и тесные контакты в коллективе (в детском саду, стационаре, доме престарелых и т. д.). До 50% пневмококковых пневмоний возникает во время пандемии гриппа, поскольку гриппозный вирус облегчает адгезию и колонизацию пневмококком слизистой бронхов.
Развитие пневмококковой пневмонии протекает со сменой четырех патоморфологических фаз. В первую (фазу микробного отека) длительностью 12-72 часа наблюдается усиление кровенаполнения сосудов с выходом экссудата в просвет альвеол. В серозной жидкости определяются пневмококки. Вторая фаза пневмонии (красного опеченения) характеризуется появлением в экссудате фибриногена и эритроцитов. Пораженная ткань легкого становится плотной, безвоздушной, напоминающей по консистенции и цвету ткань печени. Этот период длится 1-3 суток. Следующая фаза (серого опеченения) продолжительностью 2-6 суток протекает с преобладанием в экссудате лейкоцитов, за счет чего легкое приобретает серовато-желтый цвет. В последний период (фазу разрешения) начинается обратное развитие изменений: рассасывание экссудата, растворение фибрина, восстановление воздушности легкого. Длительность этого периода определяется выраженностью воспалительного процесса, реактивностью макроорганизма, правильностью терапии.
Симптомы пневмококковой пневмонии
Клиническая картина пневмококковой пневмонии складывается из ряда синдромов, присущих острой пневмонии в целом: интоксикационного, общевоспалительного, бронхолегочного и плеврального. Воспаление легких, обусловленное пневмококковой инфекцией, обычно протекает в одном из двух вариантов: в виде крупозной пневмонии (лобарной пневмонии, плевропневмонии) или очаговой пневмонии (дольковой пневмонии, бронхопневмонии).
Крупозная пневмония манифестирует остро, с внезапного подъема температуры до 38-40°С, потрясающего озноба, лихорадочного румянца на щеках. Значительно выражены признаки интоксикации: слабость, головная боль, миалгии, потеря аппетита. Появляются одышка и тахикардия. Больные отмечают боль в груди на стороне поражения при дыхании и кашле. Сухой, болезненный вначале, кашель вскоре становится влажным, с отделением коричневатой («ржавой») мокроты. Течение крупозной пневмококковой пневмонии тяжелое. Часто встречаются осложнения в виде острой дыхательной недостаточности, плеврита, абсцесса легкого, эмпиемы плевры. Реже развиваются экстрапульмональные и генерализованные осложнения: менингит, эндокардит, нефрит, сепсис.
Началу очаговой пневмококковой пневмонии, как правило, предшествует эпизод ОРВИ. Сохраняется общая слабость, высокая утомляемость, сильная потливость. Симптоматика в целом аналогична крупозной плевропневмонии, но выражена слабее. Лихорадка менее высока и продолжительна, кашель умеренный и не столь болезненный. Течение очаговой пневмонии обычно среднетяжелое, осложнения возникают сравнительно редко. Однако бронхопневмония более склонна к затяжному течению – нередко инфильтративные изменения в легких сохраняются дольше одного месяца.
Диагностика пневмококковой пневмонии
Для пневмококковой пневмонии характерны определенные физикальные данные, которые изменяются в соответствии с патоморфологической фазой заболевания. На стадии экссудации определяется притупление перкуторного звука, жесткое дыхание, сухие хрипы, начальная крепитация. В стадии опеченения появляется бронхофония, выслушивается шум трения плевры. Для стадии разрешения типичны разнокалиберные влажные хрипы, звучная крепитация, жесткое дыхание, переходящее в везикулярное.
Читайте также:
Уход при пневмонии с мотивацией
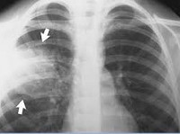
Рентгенологическое исследование (рентгенография легких в двух проекциях) позволяет визуализировать пневмоническую инфильтрацию легочной ткани (в виде интенсивного затемнения доли или очаговой тени), определить наличие плеврального выпота. С целью дифференциальной диагностики с раком легкого, туберкулезом, ателектазом применяется линейная и компьютерная томография (КТ легких).
При пневмококковой пневмонии ярко выражены изменения в анализах периферической крови. Типичен нейтрофильный лейкоцитоз, резкий сдвиг формулы влево, повышение СОЭ. При биохимическом исследовании крови на активность воспалительной реакции указывает положительный СРБ, повышение сиаловых кислот, фибриногена, гаптоглобина, γ-глобулинов.
Этиологическая верификация пневмококковой пневмонии осуществляется с помощью микроскопического исследования мокроты: в препаратах, окрашенных по Грамму, определяются скопления пневмококков. Также проводится бактериологический посев мокроты, серологические реакции (титры противопневмококковых Ат в парных сыворотках крови нарастают на 10-14 день заболевания).
Лечение пневмококковой пневмонии
Современный подход к лечению пневмококковой пневмонии складывается из базисной, этиотропной, патогенетической и симптоматической терапии. Госпитализация в стационар осуществляется по клиническим показаниям (дети первого года жизни, пожилые пациенты, лица с хроническими сопутствующими заболеваниями). На период лихорадки назначается постельный режим, рекомендуется полноценная, сбалансированная по калоражу диета, употребление достаточного количества жидкости.
Этиотропная терапия пневмококковой пневмонии заключается в применении антибактериальных препаратов, обладающих наибольшей активностью в отношении S.pneumoniae. Прежде всего, это ингибиторозащищенные пенициллины (амоксициллин, ампициллин), цефалоспорины второго-третьего поколения (цефтриаксон, цефотаксим), макролиды (джозамицин, спирамицин), карбапенемы (имипенем, меропенем). Для воздействия на антибиотикорезистентные штаммы пневмококка применяется ванкомицин.
Патогенетический подход к лечению пневмококковой пневмонии основан на проведении дезинтоксикационной терапии, использовании бронхолитиков, кардиопротекторов, противовоспалительных и мочегонных средства. Симптоматическая терапия подразумевает прием жаропонижающих, противокашлевых, отхаркивающих препаратов, проведение отвлекающей и местной терапии (ингаляции, орошение зева антисептическими растворами). В фазе разрешения к медикаментозному лечению добавляются реабилитационные мероприятия: дыхательная гимнастика, физиотерапия, массаж грудной клетки, витаминотерапия. Общая продолжительность лечения пневмококковой пневмонии должна составлять не менее 3-х недель с динамическим рентген-контролем.
Прогноз и профилактика пневмококковой пневмонии
Пневмококковые пневмонии средней тяжести, как правило, протекают благоприятно и разрешаются в сроки от двух до четырех недель. Тяжелые формы инфекции наблюдаются у детей младшего возраста, лиц с тяжелыми интеркуррентными заболеваниями и могут закончиться летально в связи с присоединением различных легочных и внелегочных осложнений.
В целях снижения уровня заболеваемости и неблагоприятных исходов в национальный календарь профилактических прививок с 2014 года включена обязательная вакцинация против пневмококковой инфекции. Кроме выработки специфического иммунитета, вакцинация позволяет санировать верхние дыхательные пути от колонизации пневмококком и снизить число бактерионосителей. Неспецифическая профилактика пневмококковой пневмонии складывается из изоляции больных, повышения общей сопротивляемости инфекциям, своевременного лечения ОРВИ.
Воспалительные процессы, распространяющиеся на органах дыхания, не зря считаются одними из самых тяжелых заболеваний, ведь лечение нередко занимает много времени, причем не всегда завершается успешно. Чтобы не допустить опасных для здоровья последствий, лучше заранее ознакомиться с тем, какие именно болезни могут поразить взрослого или ребенка, как правильно их распознать и какие препараты помогут справиться с недугом. Одно из таких заболеваний, требующее особого внимания – пневмококковая пневмония, симптомы и лечение которой лучше разузнать более подробно.
Как проявляет себя пневмококковая пневмония, симптомы
Что являет собой пневмококковая пневмония, симптомы и лечение, особенности болезни, какими препаратами придется бороться с недугом – вопросов, которые требуют немедленных ответов, при подозрении на заболевание, может появиться немало. Медики предупреждают – взрослые нередко принимают явные признаки воспалительных процессов за совершенно другую болезнь. Завершается это вполне предсказуемо – к врачу не обращаются, пытаются справиться с недугом самостоятельно, получая непростые осложнения.
Пневмококковая пневмония, симптомы, которые должны стать поводом для немедленного обращения к врачу:
- резкий скачок температуры до 40 градусов;
- болезненные ощущения в грудной клетке при вдохе и выдохе;
- продолжительный кашель без отхаркивания;
- одышка;
- выделение мокроты, в которой присутствуют кровяные и гнойные вкрапления (при развитии болезни);
- потеря аппетита;
- вялость, общая слабость;
- болезненные ощущения в мышцах, ломота по всему телу.
Нередко случается, что больного тревожит всего несколько признаков. Не нужно ждать, пока болезнь начнет быстро распространяться – обратиться к доктору нужно при первых подозрениях на коварный и опасный недуг, который при отсутствии лечения может завершиться летальным исходом.
Чем может грозить пневмококковая пневмония у детей, как распознать болезнь у ребенка
Особенно опасной считается пневмококковая пневмония у детей – даже своевременное лечение может завершиться осложнениями, которые могут угрожать развитию и общему состоянию здоровья крохи. Именно поэтому так важно не медлить с обращением к врачу, который проведет точную диагностику и назначит наиболее эффективные препараты для лечения.
Распознать признаки болезни у ребенка не слишком сложно, любимое чадо может жаловаться на некоторые проявления, которые не следует оставлять без внимания. Насторожить взрослых должны такие симптомы:
- болезненные ощущения в груди;
- головные боли;
- дискомфорт на слизистых горла;
- кашлевые приступы, которые сопровождаются нарушениями дыхания;
- изменение оттенка кожи (обычно носогубный треугольник приобретает синий цвет).
Читайте также:
Как лечить насморк при пневмонии
Даже если ребенка тревожит не пневмококковая пневмония, симптомы и лечение которой нередко напоминают другую болезнь, отказываться от помощи медиков не стоит. Только специалист может подтвердить подозрения родителей или убедить их в том, что малыша поразила простая простуда и тревога была напрасной.
В каких случаях применяется лечение антибиотиками
Чаще всего врач назначает лечение антибиотиками, поскольку заболевание провоцируют бактерии, которые могут не поддаться простому лечению. Определить, какие именно препараты способны справиться с опасным недугом, может только доктор, самостоятельно принимать какие-либо составы категорически запрещено – это может привести к стремительному развитию болезни.
Рекомендуемые при заболевании антибактериальные препараты:
- Амоксиклав (группа пенициллинов);
- Эритромицин (группа макролидов);
- Цефазолин (цефалоспорины);
- Ампициллин (пенициллины).
Каждый из этих препаратов имеет свои особенности, которые нужно учитывать при приеме. Главное, что нужно помнить в продолжение лечения – антибактериальные лекарства рекомендуется принимать в строго назначенное время, поскольку воздействуют они определенный период. Еще одно важное правило – еще в начале приема состава медик назначает длительность курса, превышать который категорически запрещено.
Антибиотик цефалоспоринового ряда при пневмококковой пневмонии
При слишком тяжелых проявлениях заболевания врачом может назначаться антибиотик цефалоспоринового ряда при пневмококковой пневмонии. Эти препараты считаются самой мощной и агрессивной группой среди антибактериальных лекарств, и рекомендуются они только при отсутствии результатов при приеме других составов.
Самые популярные препараты этой группы – Цефазолин и Цефтриаксон. Состав лекарств мало отличается, разница только в концентрации активных компонентов. Особенность этих средств – они практически не вызывают аллергическую реакцию, что важно для людей, страдающих от раздражения, появляющегося при лечении аптечными препаратами.
Лекарства могут приниматься внутрь или внутримышечно – решает, какому именно способу лечения отдать предпочтение, только врач. Таблетки обычно назначаются взрослым, детям рекомендуется вводить раствор с помощью инъекций.
При пневмококковой пневмонии эффективен Изониазид
Какие еще составы можно применить при заболевании и насколько при пневмококковой пневмонии эффективен Изониазид? Для многих этот препарат более известен, как лекарство против туберкулеза, но и при воспалительных процессах на легких он может оказать не менее эффективное воздействие. Особенно часто назначают состав после перенесенной пневмонии, поскольку он способен предотвратить неприятные осложнения, которые могут возникнуть даже при успешном избавлении от болезни.
Препарат разрешен только с подросткового возраста – детям для профилактики или предотвращения осложнений придется принимать другие средства. Дозировку назначает только врач, который также определяет длительность лечения, превышать ее категорически запрещено. Лекарство довольно агрессивное, поэтому в продолжение курса лучше внимательно следить за тем, как организм реагирует на составляющие. При первых тревожных сигналах необходимо отказаться от продолжения приема и прибегнуть к более щадящим составам.
Лечение пневмококковой пневмонии народными методами
Насколько возможно лечение пневмококковой пневмонии народными методами и способны ли растительные составы полностью заменить аптечные медикаменты? Сразу следует запомнить одно важное правило – использовать растительные составы можно только в качестве вспомогательных мер, но никак не главным лекарством. Ошибки, допущенные в лечении, могут привести не только к осложнениям, но и к летальным исходам. Справиться с воспалительными процессами в легких можно только агрессивными препаратами, а не мягкими и щадящими отварами.
Одно из средств, которое можно использовать для облегчения симптомов заболевания – отвар на основе инжира. Приготовление домашнего лекарства:
- Промыть два сушеных плода инжира.
- Залить фрукты молоком (200 мл), отправить на плиту и варить в продолжение 15 минут.
- Настаивать не нужно, можно сразу принимать средство.
Фрукты выбрасывать не нужно, их рекомендуется съесть до приема молочного средства. Принимать состав нужно дважды в сутки, каждый раз рекомендуется готовить свежий напиток. Добавлять что-либо в него не стоит – это может снизить действенность жидкости.
Эриотропная терапия пневмококковой пневмонии
Какими препаратами проводится эриотропная терапия пневмококковой пневмонии? Чаще всего здесь используются антибактериальные лекарства. Помимо антибиотиков назначаются нитрофураны. Роль таких средств – уничтожение бактерий, спровоцировавших воспалительный процесс. Эти составы нужно принимать определенное время, обычно курс лечения не превышает полутора недель. Если результаты отсутствуют, назначается средство с другим составом.
Применение эриотропной терапии рекомендуется еще до развития болезни – если воспаление стремительно распространяется на здоровые ткани, придется применять лечение более мощными составами. Медики предупреждают – без назначения врача не следует использовать эти лекарства, поскольку они принимаются только под контролем врача, который следит за результатами воздействия средств.
Внебольничная пневмококковая пневмония – что это?
Что такое внебольничная пневмококковая пневмония – вопрос, который может возникнуть у людей, не сталкивающихся с воспалительными заболеваниями. Медики на этот вопрос дадут простой ответ – это болезнь, которая развивается у человека, не контактирующего с медицинскими учреждениями. Основные признаки болезни:
- озноб;
- сухой кашель;
- общее недомогание;
- сильные хрипы;
- болезненные ощущения в груди;
- усталость, апатия, вялость.
Читайте также:
Пневмония у вич инфицированных лечится
Чаще всего такое заболевание заканчивается принужденной госпитализацией, которая может оказаться бесполезной. Медицинская статистика оповещает, что случаев смертности при внебольничном заболевании намного больше, чем при обычном недуге, на которое было осуществлено своевременное воздействие мощными препаратами.
Основной возбудитель пневмококковой пневмонии
Главный возбудитель пневмококковой пневмонии был открыт много лет назад, но лишь недавно начали производить вакцину, которую можно использовать для профилактики болезни. Воспалительный процесс начинается благодаря пневмококку, который и провоцирует настолько опасные проявления в организме.
Помимо пневмонии возбудитель может спровоцировать ряд других болезней, среди которых самыми опасными считаются сепсис, артрит, перикардит. Несмотря на то, что эти заболевания спровоцированы одним и тем же возбудителем, лечение назначается разное. Некоторые из этих болезней отлично поддаются воздействию простыми щадящими препаратами, другие требуют применение антибактериальных составов. Решать, что именно применить в индивидуальном порядке, может только врач, поэтому к специалисту и нужно обратиться при первых признаках болезни, ни в коем случае не приступая к приему самостоятельно.
Как проводится диагностика пневмококковой пневмонии
Первое, что необходимо для того, чтобы с точностью установить болезнь и назначить самое эффективное лечение – визит к доктору. Только диагностика пневмококковой пневмонии поможет успешно справиться с коварным и опасным для организма человека недугом. Определение заболевания проводится опросом, осмотром, лабораторными исследованиями. На основе полученной информации врач назначает лечение.
Вместе с анализами крови врачи обычно берут образцы мокроты. Обязательное условие – проведение рентгенографии, которая поможет определить, насколько поражены болезнью легкие. Если врачи подозревают скопление экссудата, возможно, что будет назначено УЗИ, по результатам которого будет назначена дополнительная терапия.
Для лечения внебольничной пневмококковой пневмонии применяется комплексное воздействие
Что из медикаментозных препаратов для лечения внебольничной пневмококковой пневмонии применяется для эффективного воздействия на болезнь? Обычно медики назначают комплексное лечение, которое направлено на устранение нескольких проблем:
- противокашлевые препараты (Лазолван, Беродуал, Мукалтин, Эуфиллин);
- витаминные комплексы;
- коферменты (Липоевая кислота);
- солевые растворы (физраствор);
- противовоспалительные составы (Парацетамол, Вольтарен);
- сердечные препараты (Строфантин);
- ингаляции.
Поскольку такое лечение довольно сложное, происходить оно должно только под строгим контролем медиков. Рассчитывать дозировки, длительность лечения какими-либо составами, количество приемов должен только специалист. Домашние средства можно применять только с разрешения доктора, причем они должны быть дополнительными, а не основными лекарствами.
Народные средства против пневмококковой пневмонии
Есть немало народных составов, которые можно успешно применять при воспалительных процессах, распространяющихся в легких. Конечно же, делать это разрешено только с согласия специалиста. Несмотря на бережное обращение с организмом человека растительных средств, в продолжение их применения необходимо внимательно следить за состоянием здоровья. При первых признаках ухудшения самочувствия обязательно отказаться от продолжения употребления домашних лекарств.
Одно из средств, которое быстро и эффективно облегчит симптомы болезни – бальзам на основе зверобоя. Приготовить его просто:
- 60 гр. сухого зверобоя потереть руками, положить в небольшую емкость.
- Довести до кипения воду (0,5 л), заварить подготовленную растительную кашицу.
- Отправить емкость с составом на небольшой огонь, выдержать не менее получаса.
- Настоять до полного охлаждения, желательно укутать теплым платком (можно ускорить процесс настаивания, используя термос).
- На водяной бане растопить мед (обязательно липовый), добавить в отфильтрованный отвар. Пчелиного продукта можно добавлять по вкусу, но не более 100 гр.
- Размешать средство, плотно закрыть, поставить в темное место на две недели.
- В продолжение настаивания несколько раз энергично встряхнуть банку или бутыль со средством.
Принимать домашнее лекарство нужно небольшими порциями – всего по 25 мл. Количество приемов в сутки – до четырех раз. Длительность лечения – до полумесяца. Превышать время приема не следует, при отсутствии положительных результатов придется использовать другие средства.
Еще одно замечательное средство можно приготовить на основе чеснока. Для этого очистить головку жгучего овоща, превратить в кашицу с помощью пресса, добавить предварительно подготовленный настой овса (проварить 50 гр. овсяных зерен в 150 мл воды). Смесь залить 220 мл молока, довести до кипения. Полученный состав разделить на две части, принять в течение дня. Длительность применения настоя – 2 недели, после этого можно сделать непродолжительный перерыв и повторить курс лечения.
Пневмококковая пневмония, симптомы и лечение, препараты и домашние составы для быстрого избавления от болезни – информации о заболевании есть немало, и перед тем, как приступить к воздействию на недуг, обязательно изучить все особенности. Не следует забывать о том, что воспалительный процесс на легких очень опасен для человека, и только под контролем врача можно справиться с ним быстро и эффективно.

